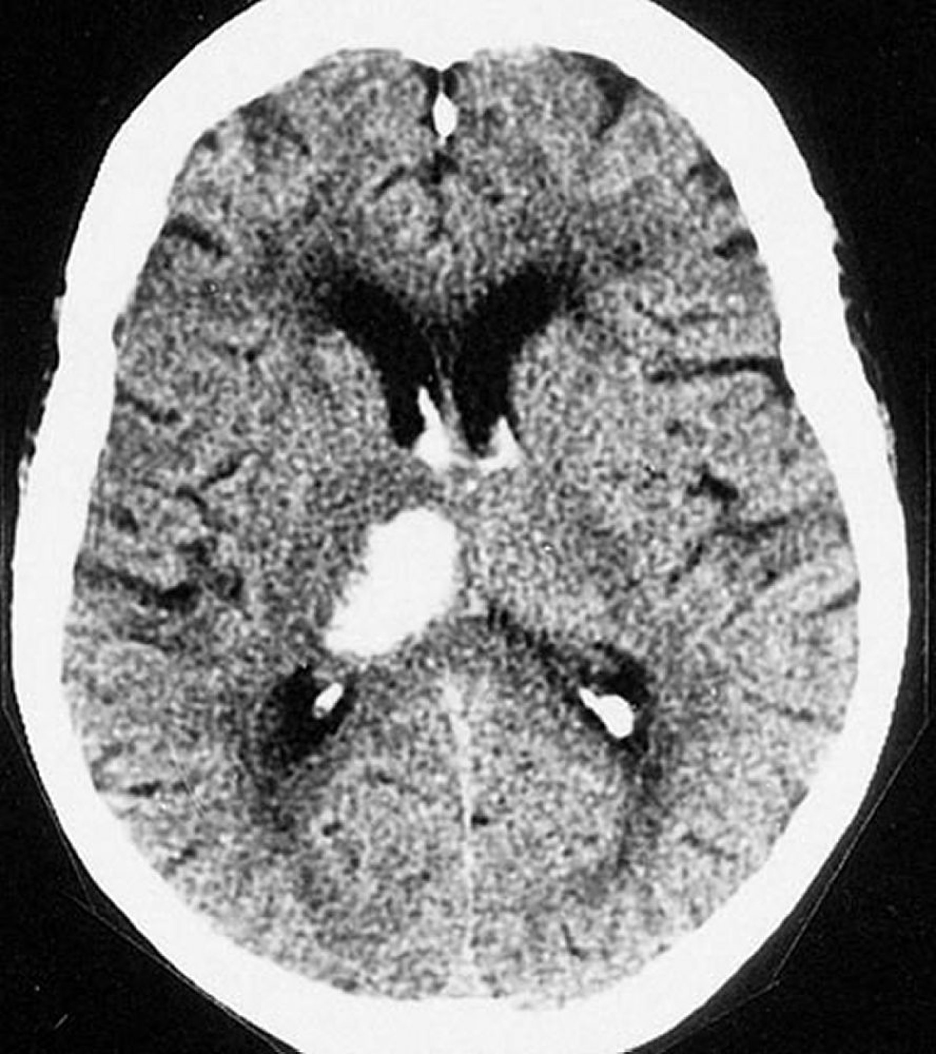
Emorragia intracerebrale talamica
Questa scansione TC mostra un'emorragia nel talamo. Le emorragie intracerebrali si verificano di solito nel talamo e nei gangli della base.
By permission of the publisher. From Furie K, et al. In Atlas of Clinical Neurology. Edited by RN Rosenberg. Philadelphia, Current Medicine, 2002.
In questi argomenti
