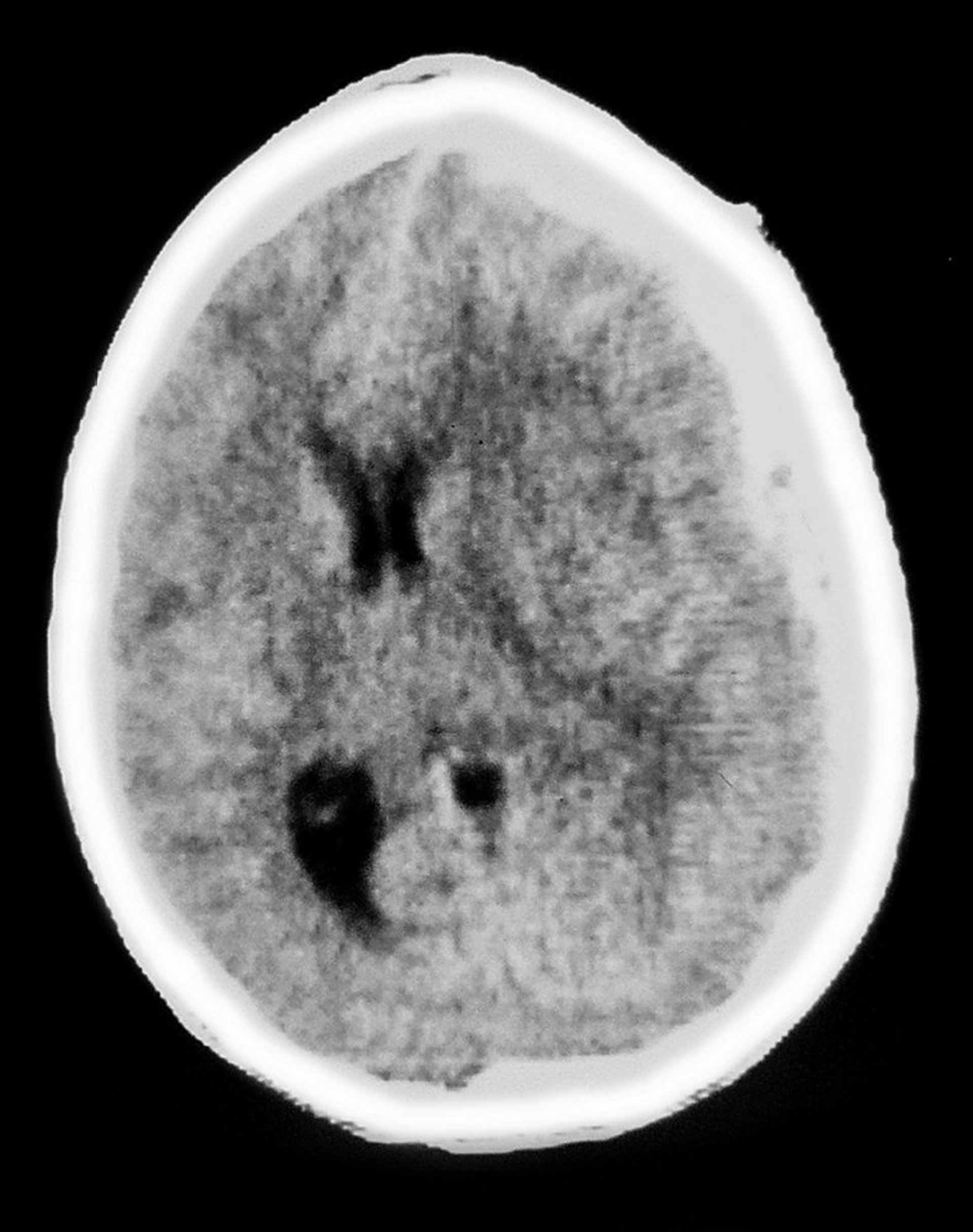
Ematoma subdurale
Questa scansione TC mostra una opacità a forma di mezzaluna sovrastante il tessuto cerebrale, caratteristica di un ematoma subdurale. Si verifica anche un effetto massa, con compressione dei ventricoli e spostamento della linea mediana.
Cavallini James/BSIP/SCIENCE PHOTO LIBRARY
In questi argomenti
