Criptococcosi (sistema nervoso centrale)
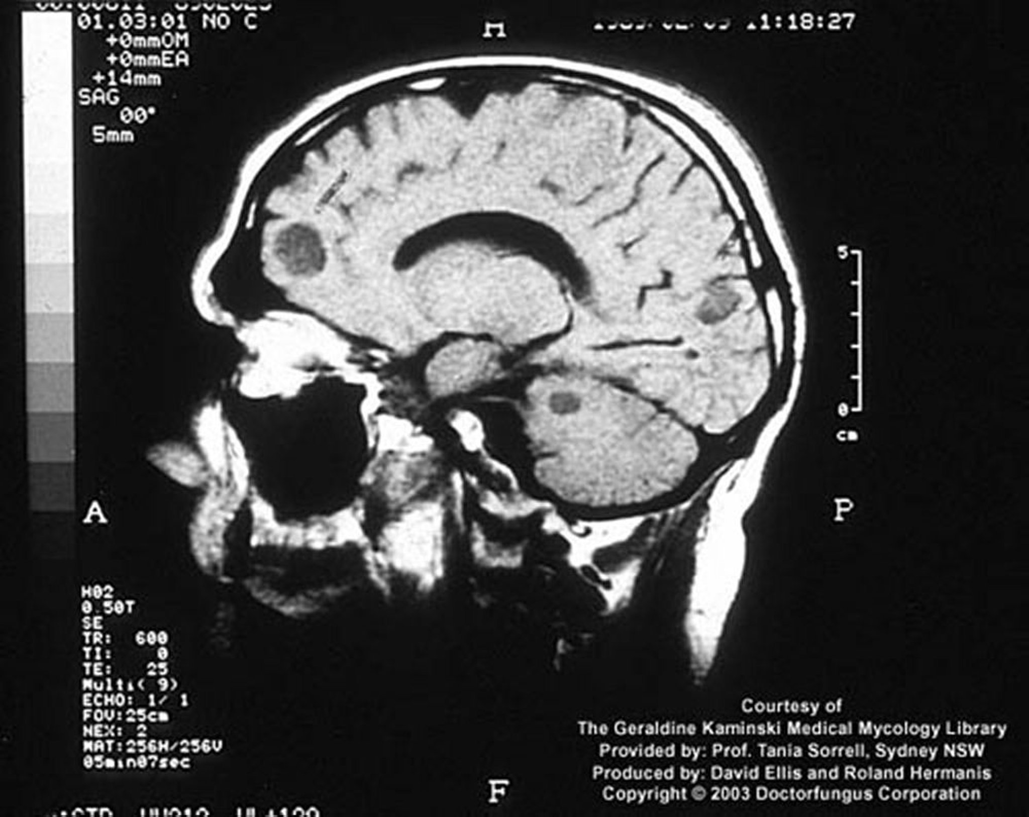
In un ospite immunosoppresso, l'infezione da criptococco può manifestarsi come lesioni cerebrali focali chiamate criptococcomi.
Image courtesy of www.doctorfungus.org © 2005.
In questi argomenti
In un ospite immunosoppresso, l'infezione da criptococco può manifestarsi come lesioni cerebrali focali chiamate criptococcomi.
Image courtesy of www.doctorfungus.org © 2005.