honeypot link
skip to main content
Professionisti
Pazienti
Manuale Msd
Versione per i professionisti
ARGOMENTI DI MEDICINA
RISORSE
COMMENTI
PROCEDURE
QUIZ
INFORMAZIONI
ARGOMENTI DI MEDICINA
RISORSE
<
Immagini
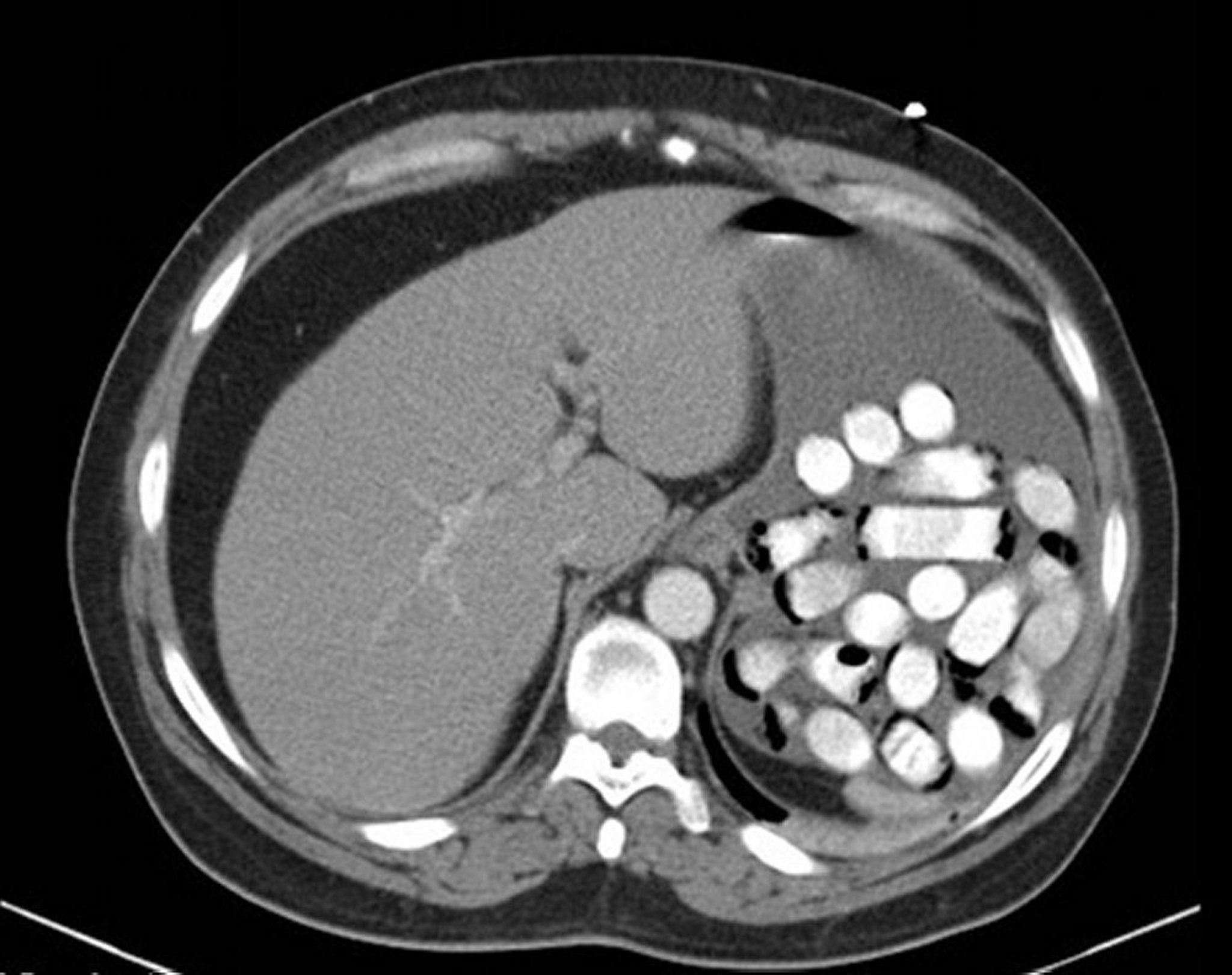
Corpo estraneo gastrico (TC)
Questa immagine mostra pacchetti di droga nello stomaco.
Immagine fornita da Alan Gingold, DO.
In questi argomenti
Corpi estranei gastrici ed intestinali
>