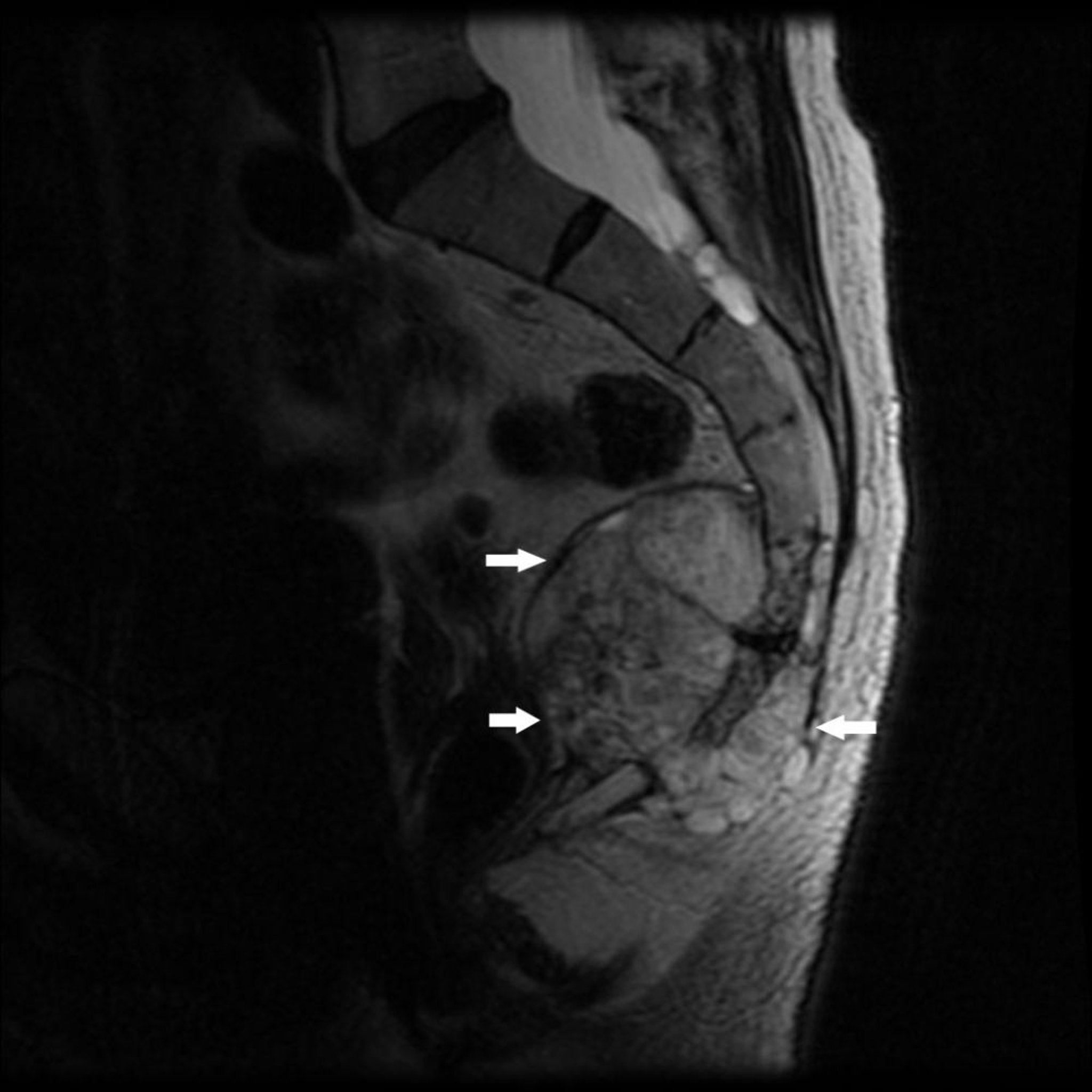
Cordoma
Questa risonanza magnetica mostra un tumore all'estremità caudale del sacro (S4) e del coccige con distruzione ossea e massa di tessuto molle (frecce), tipica di un cordoma.
Image courtesy of Michael J. Joyce, MD, and Hakan Ilaslan, MD.
In questi argomenti
