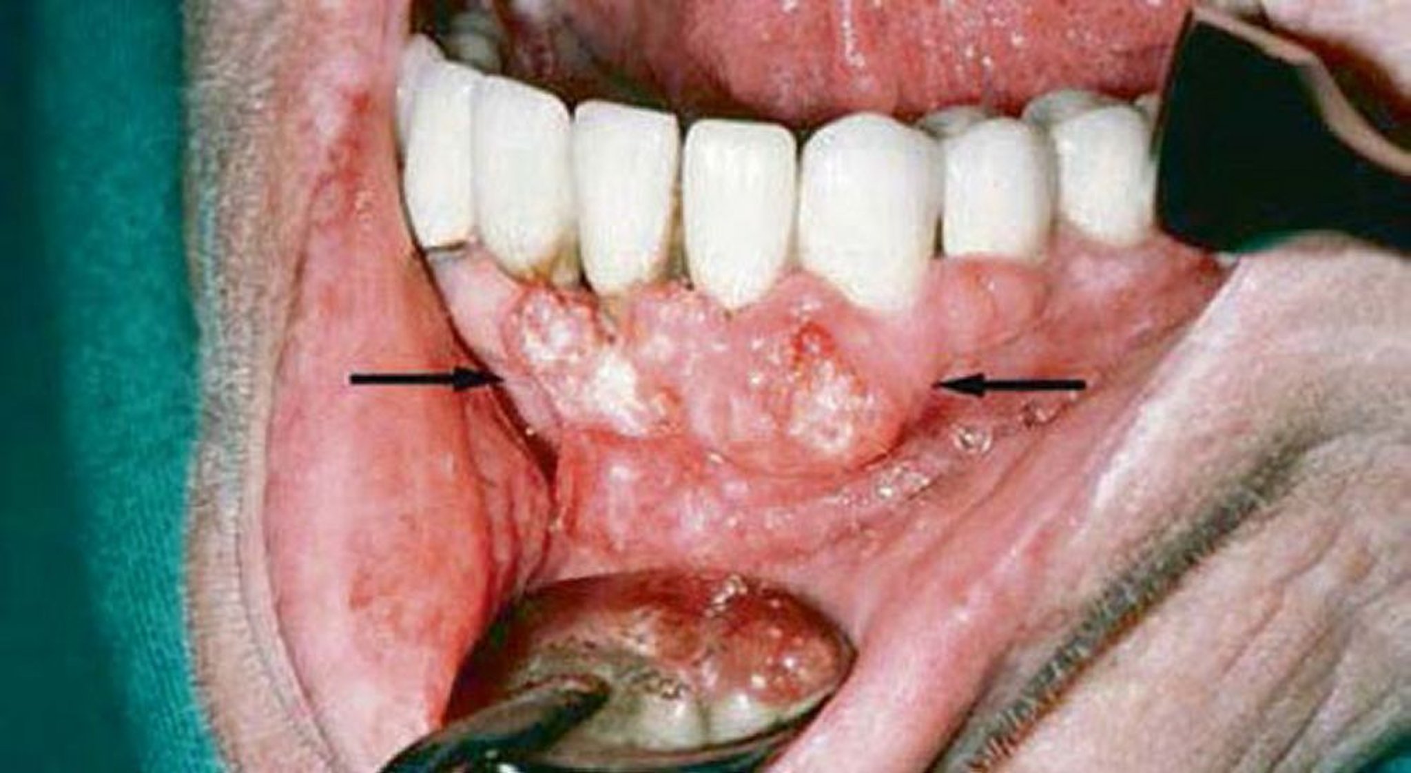
Carcinoma squamocellulare (lesioni gengivali)
L'esame gengivale di questo paziente ha mostrato evidenza di carcinoma a cellule squamose. Gli studi di imaging hanno mostrato l'invasione della mandibola.
© Springer Science+Business Media
In questi argomenti
