Carcinoma squamocellulare dell'esofago
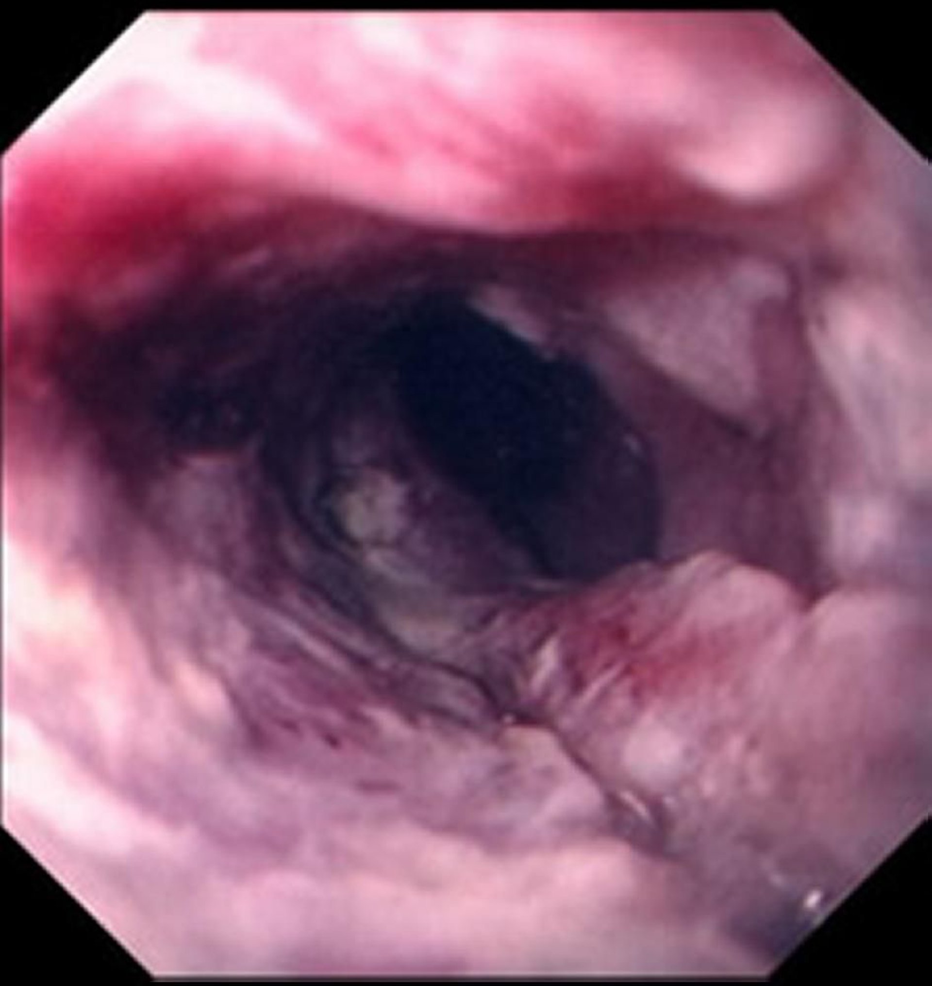
Il carcinoma squamocellulare si manifesta tipicamente come una massa ulcerata che compromette il lume dell'esofago.
Images provided by David M. Martin, MD.
In questi argomenti
Il carcinoma squamocellulare si manifesta tipicamente come una massa ulcerata che compromette il lume dell'esofago.
Images provided by David M. Martin, MD.