Broncopneumopatia cronica ostruttiva con bolle
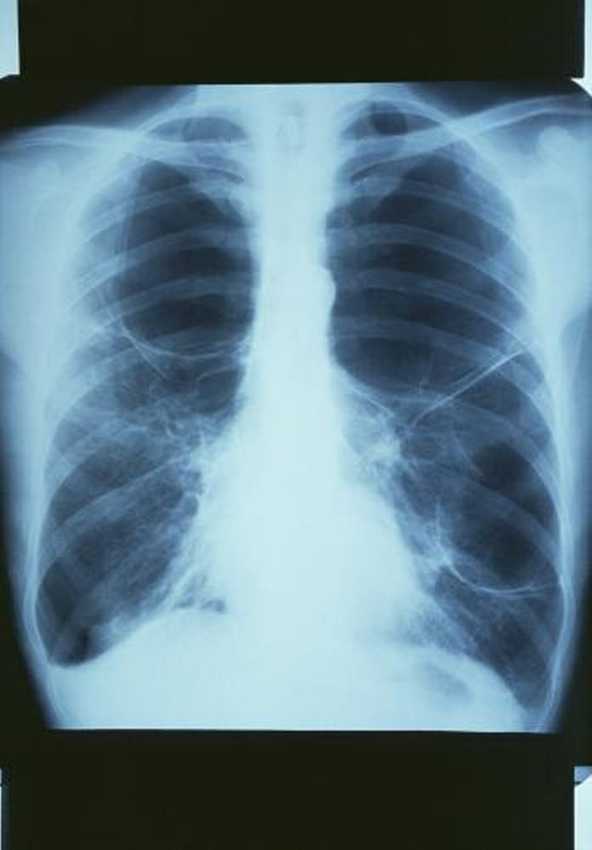
Questa radiografia del torace mostra una grande bolla nel polmone in alto a destra e 2 grandi bolle nel polmone sinistro.
GJLP/CNRI/SCIENCE PHOTO LIBRARY
In questi argomenti
Questa radiografia del torace mostra una grande bolla nel polmone in alto a destra e 2 grandi bolle nel polmone sinistro.
GJLP/CNRI/SCIENCE PHOTO LIBRARY