Angiografia polmonare con ricostruzione coronale TC
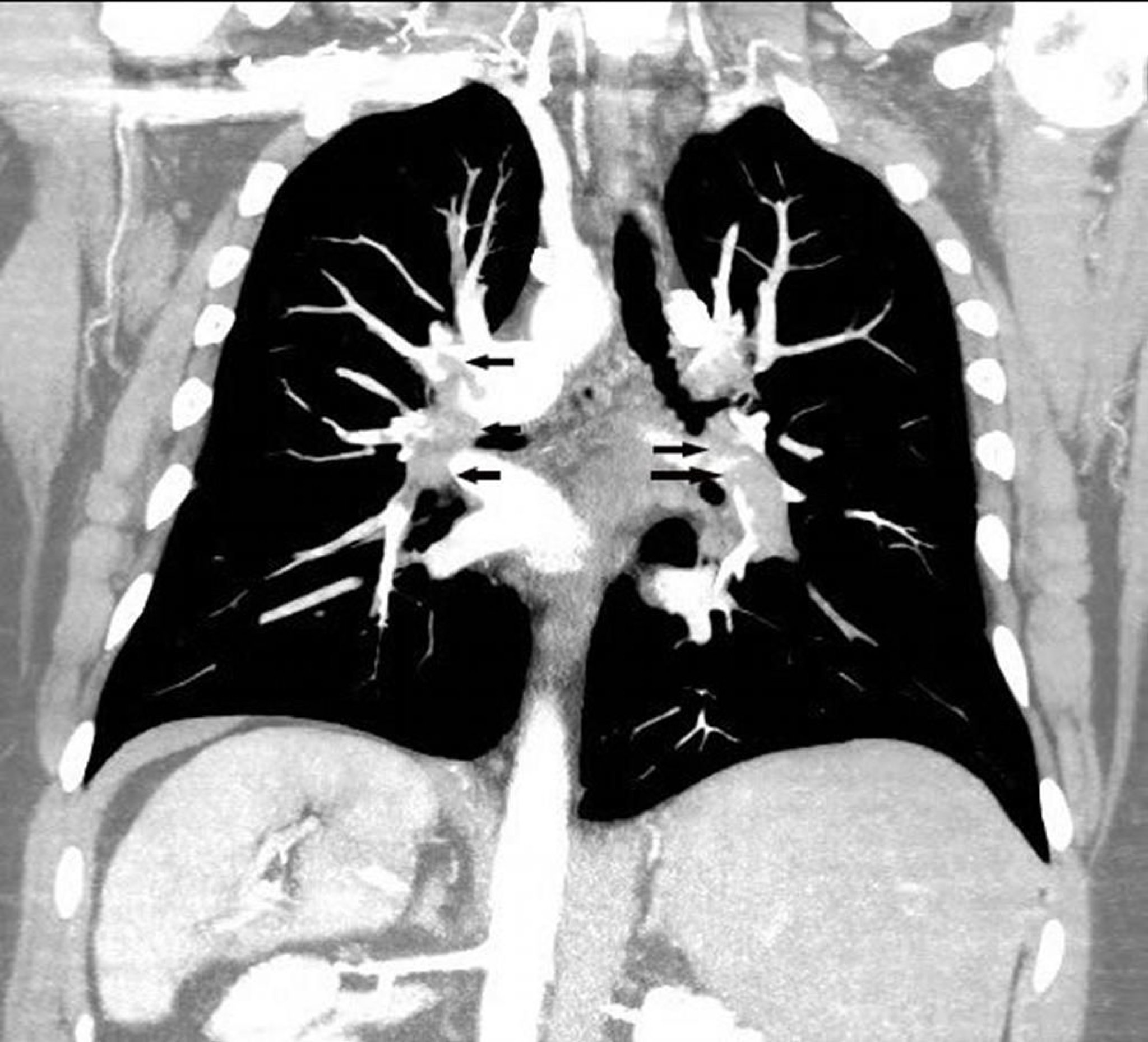
La ricostruzione coronale di un'angioTC polmonare mostra un ampio embolo polmonare in entrambe le arterie polmonari (frecce).
Image courtesy of Hakan Ilaslan, MD.
In questi argomenti
La ricostruzione coronale di un'angioTC polmonare mostra un ampio embolo polmonare in entrambe le arterie polmonari (frecce).
Image courtesy of Hakan Ilaslan, MD.