Adenocarcinoma dell'esofago
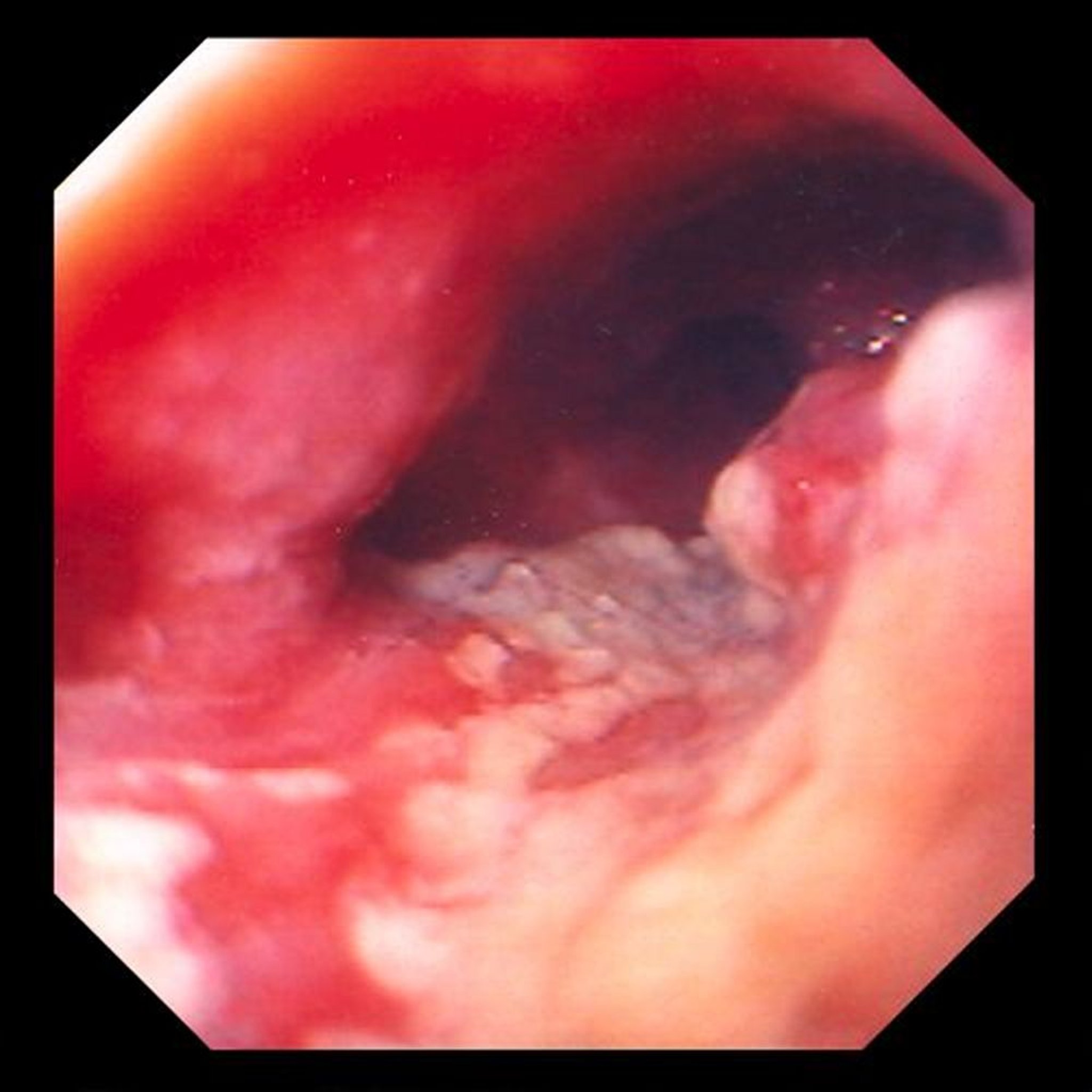
Questa immagine mostra un tumore ulcerato e costrittivo situato nell'esofago distale, che è altamente indicativo di un adenocarcinoma derivante da cambiamenti colonnari metaplastici (esofago di Barrett).
Image provided by David M. Martin, MD.
In questi argomenti
