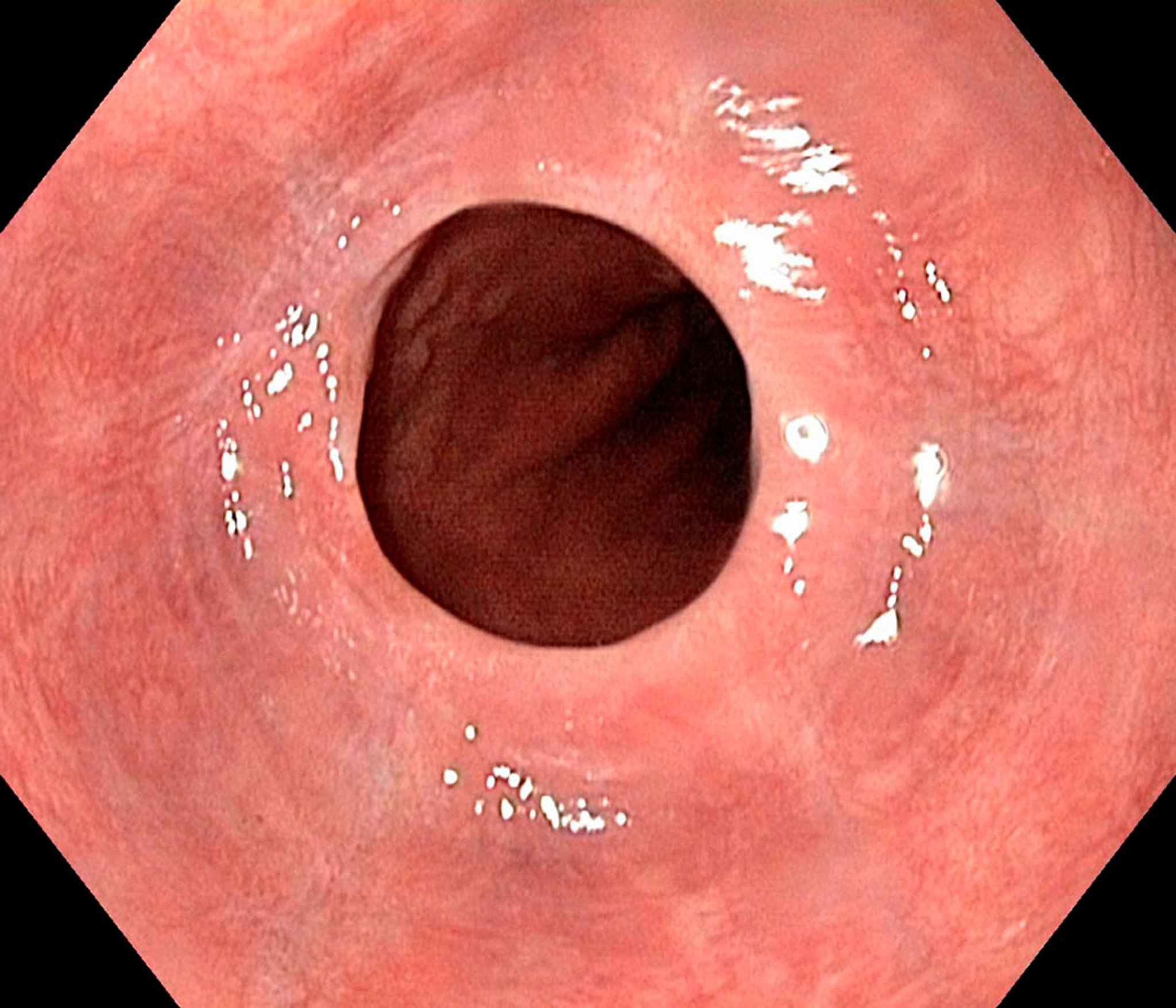
Rete esofagea
Questa immagine mostra una sottile membrana che attraversa parte dell’apertura dell’esofago.
GASTROLAB/SCIENCE PHOTO LIBRARY
In questi argomenti
Questa immagine mostra una sottile membrana che attraversa parte dell’apertura dell’esofago.
GASTROLAB/SCIENCE PHOTO LIBRARY