Polmonite chimica causata dall’inalazione di idrocarburi
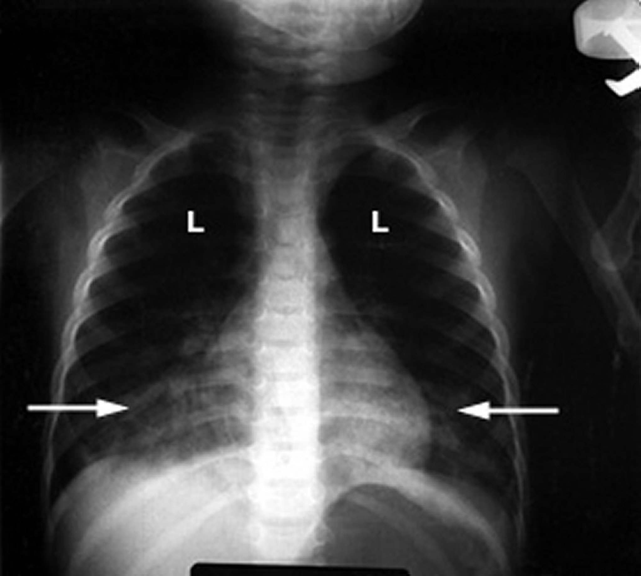
Una radiografia toracica anomala nel bambino mostra infiltrati lanuginosi e bianchi (frecce) nei polmoni (L) che indicano infiammazione. Questo riscontro è tipico del danno polmonare dovuto all’avvelenamento da idrocarburi.
Per gentile concessione del Dott. G. Schmidt.
In questi argomenti
