La fibrose et les calcifications pleurales sont généralement des séquelles bénignes d'une inflammation pleurale ou d'une exposition à l'amiante.
La fibrose et les calcifications pleurales peuvent être:
Post-inflammatoire
Ces troubles sont suspectés et diagnostiqués sur l'imagerie. Le traitement de la fibrose et des calcifications est généralement inutile. Rarement, de très grandes zones symptomatiques de fibrose nécessitent une ablation chirurgicale.
Post-inflammatoire
L'inflammation pleurale aiguë provoque souvent un épaississement pleural dû à une fibrose. Les causes courantes d'inflammation pleurale comprennent l'infection non traitée, les effets indésirables médicamenteux (p. ex., méthylsergide), les pathologies auto-immunes (p. ex., pleurésie rhumatoïde ou maladie IgG4), et les expositions dont celles à l'amiante (maladie pleurale bénigne due à l'amiante). Dans certains cas, l'épaississement et la fibrose se résoudront en grande partie, surtout si la maladie sous-jacente est traitée (p. ex., drainage adéquat et antibiotiques dans l'infection pleurale). Certains patients conservent des épaississements pleuraux mineurs, qui n'entraînent habituellement pas de symptômes ou d'altération de la fonction pulmonaire. Dans d'autres cas, il peut y avoir une fibrose et un épaississement pleural à long terme, progressifs et de plus en plus symptomatiques. Parfois, un épais tissu pleural fibreux se forme autour du poumon, ce qui limite son expansion (« poumon piégé »), attire le médiastin du côté de la maladie, et altère la fonction pulmonaire.
La radiographie de thorax montre une asymétrie des poumons avec un épaississement pleural (poumon piégé). Différencier un épaississement pleural localisé d'une collection de liquide pleural peut être difficile à la radiographie, mais cette différenciation est facile à la TDM.
Plaques pleurales calcifiées sur la paroi thoracique et le diaphragme.
Image courtoisie de David W. Cugell, MD.
Une fibrose pleurale après une inflammation peut, à l'occasion, se calcifier. La calcification produit une image dense à la radiographie de thorax et implique presque toujours la plèvre viscérale. Les calcifications post-inflammatoires sont toujours unilatérales.
Liées à l'amiante
L'exposition à l'amiante peut induire une fibrose focale, pleurale en plaque, parfois avec calcification, survenant jusqu'à ≥ 20 ans après l'exposition initiale.
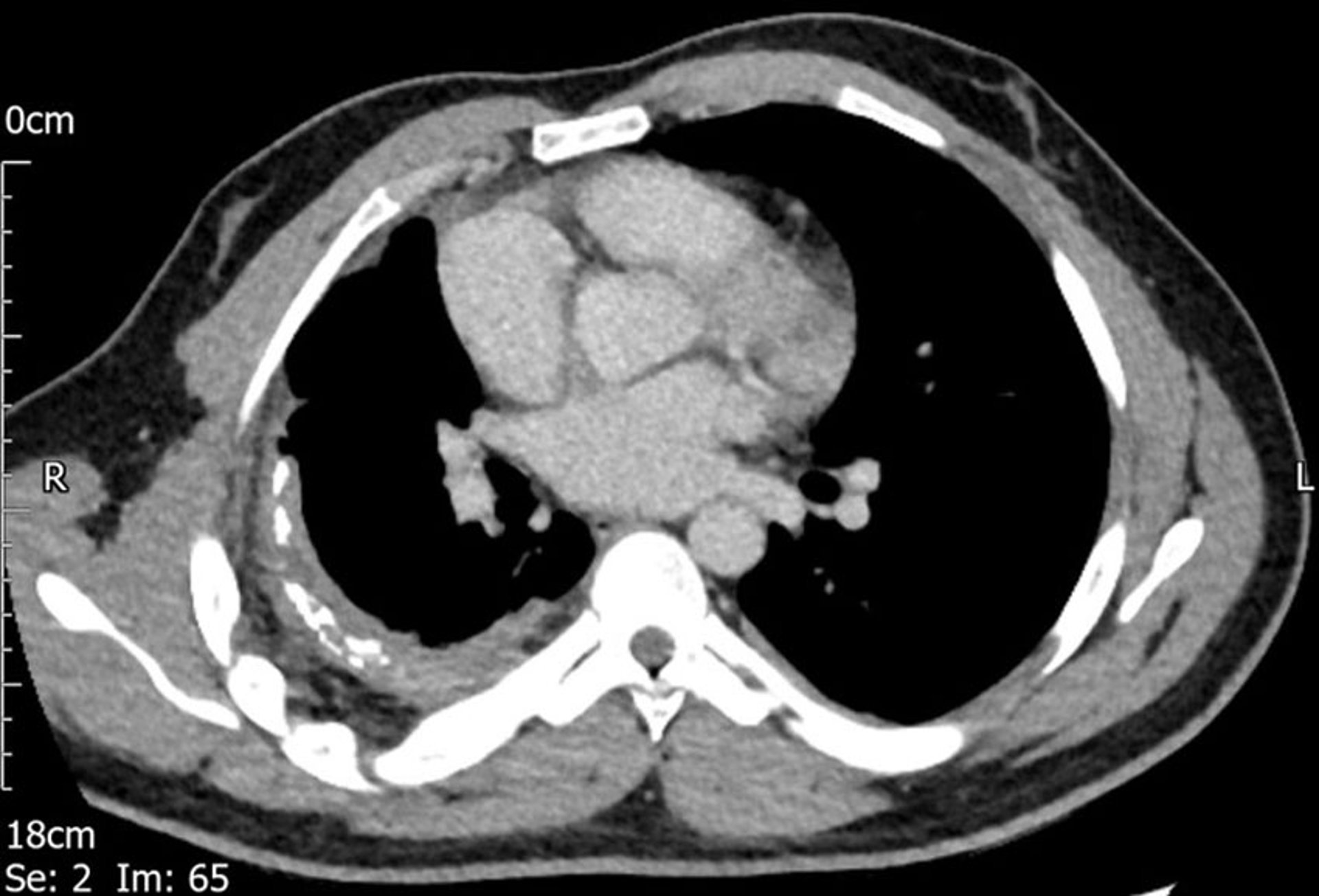
Un épaississement pleural est visible à droite sur cette TDM.
Image courtoisie de Najib M. Rahman, BMBCh MA (oxon) DPhil.
Le diagnostic est habituellement fait par la radiographie de thorax. Le diamètre des plaques peut varier de quelques millimètres à 10 cm. Toute surface pleurale ou péricardique peut être affectée, mais les plaques pleurales liées à l'amiante sont généralement situées au niveau des 2/3 inférieurs de la cage thoracique et sont bilatérales. La calcification affecte le plus souvent la plèvre pariétale et diaphragmatique et épargne les culs-de-sac costophréniques et les sommets. La calcification peut être la seule preuve de l'exposition. Une fibrose pleurale dense entourant l'ensemble du poumon de > 1 cm d'épaisseur peut également faire suite à l'exposition à l'amiante.



