Échographie d'une masse ovarienne bénigne
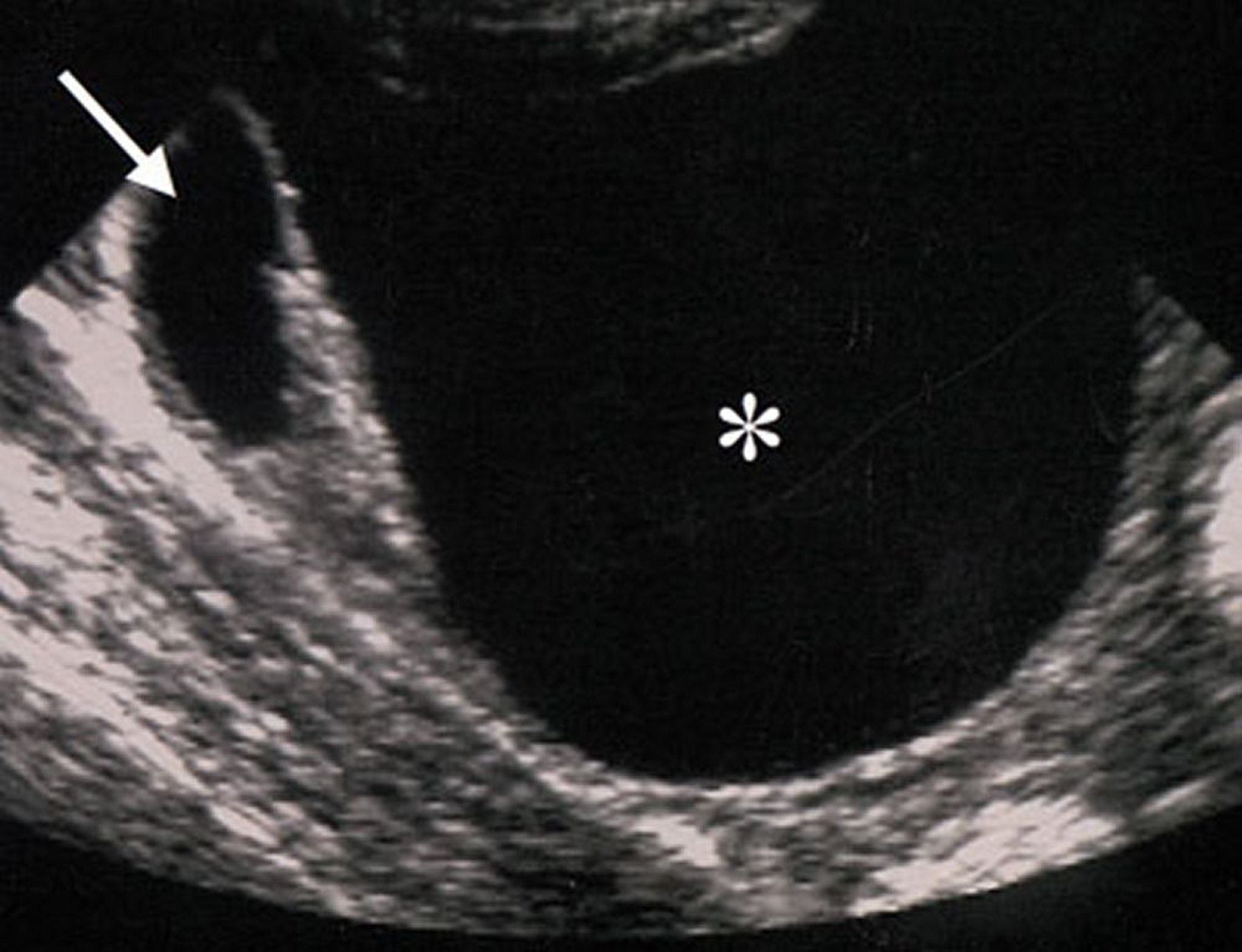
Les caractéristiques échographiques de cette masse ovarienne (indiquées par un astérisque) suggèrent que la masse est bénigne. La masse est anéchoïque (ce qui suggère l'absence de composants solides), régulière, bien circonscrite et sans épaississement ou excroissances des parois.
By permission of the publisher. From Hricak H, Coakley F, Bergman A. In Atlas of Cancer. Edited by M Markman, RR Barakat, and WJ Hoskins. Philadelphia, Current Medicine, 2002.
Dans ces sujets
