Tophus avec érosion
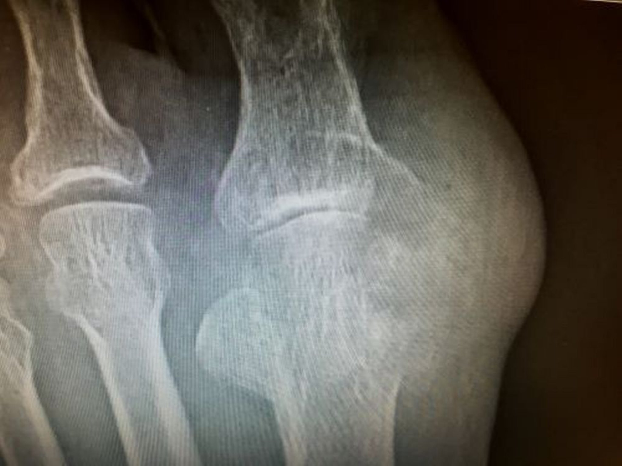
Cette photo montre de grandes érosions causées par des tophi impliquant la phalange distale métatarsienne et proximale du gros orteil.
Image courtoisie de N. Lawrence Edwards, MD.
Dans ces sujets
Cette photo montre de grandes érosions causées par des tophi impliquant la phalange distale métatarsienne et proximale du gros orteil.
Image courtoisie de N. Lawrence Edwards, MD.