Tomodensitométrie normale de la tête (adulte, 74 ans) – Diapositive 2
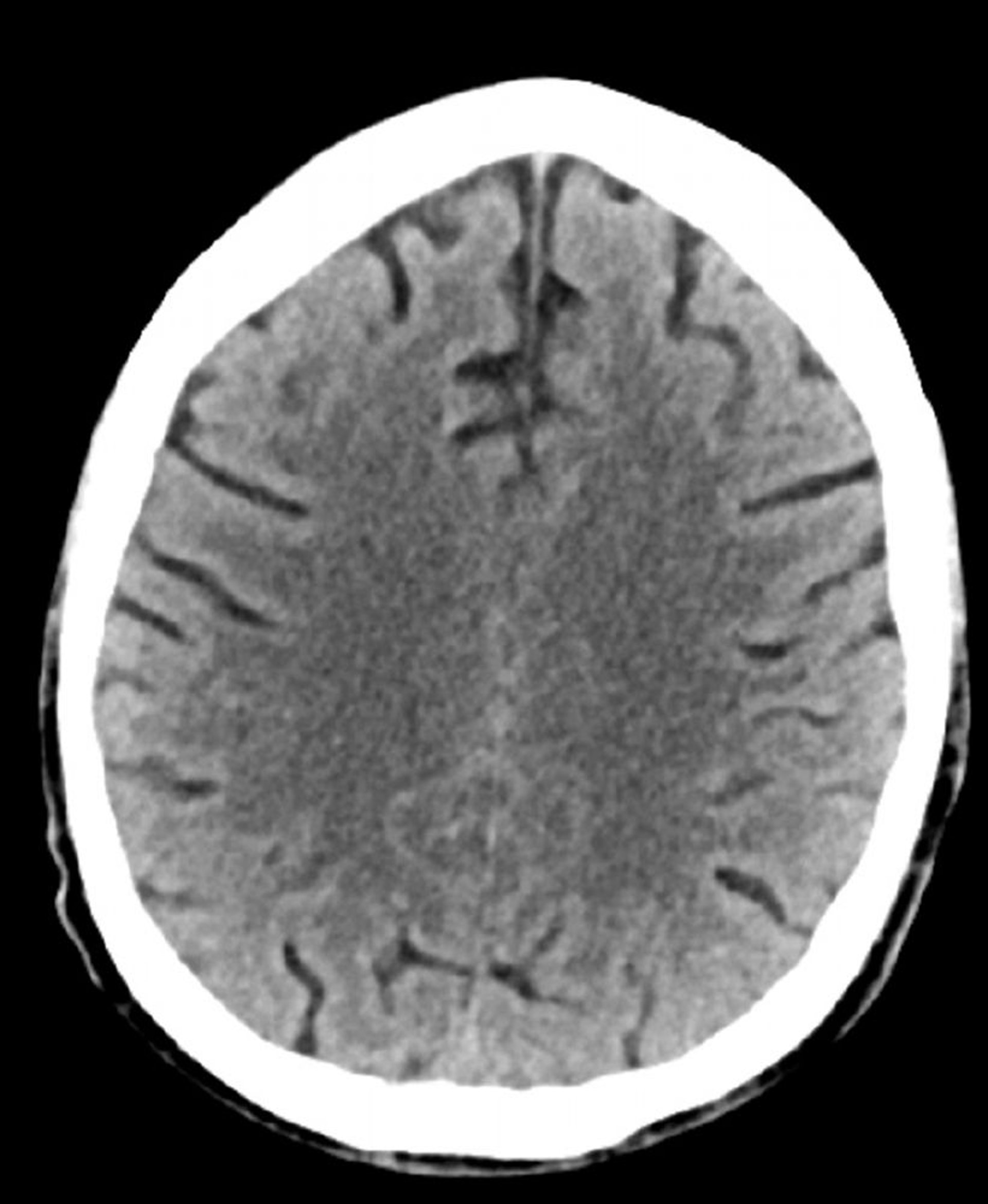
Cette image est une TDM normale de la tête d'un adulte âgé de 74 ans. Par rapport à la TDM normale de la tête d'un patient de 30 ans, les sillons sont plus grands. Ces signes sont normaux dans ce groupe d'âge.
© 2017 Elliot K. Fishman, MD.
Dans ces sujets
