Test de Tzanck
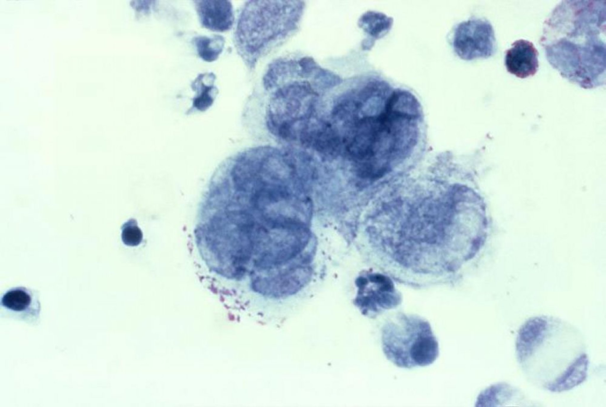
Dans le test de Tzanck, la base et les côtés d'une vésicule sont grattées avec un bistouri et le matériau est coloré au Wright ou au Giemsa. Les cellules géantes multinucléées sont un signe d'infection par le virus herpes simplex ou zona.
Photo courtesy of Joe Miller via the Public Health Image Library of the Centers for Disease Control and Prevention.
Dans ces sujets
