TDM sans contraste de l'abdomen et du bassin montrant une anatomie normale (diapositive 4)
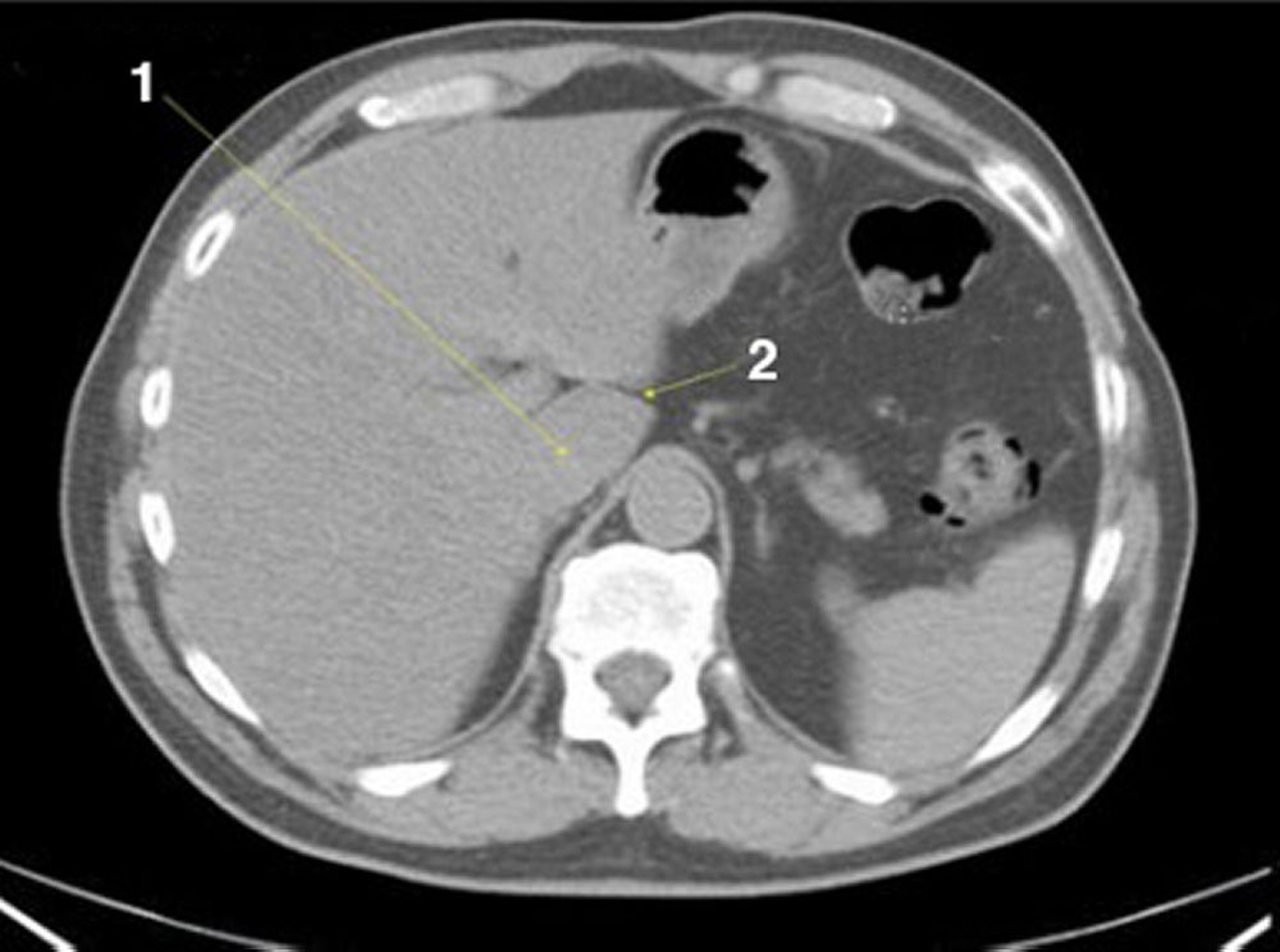
1 = lobe caudé du foie; 2 = fissure du ligamentum venosum (fissure du ligament veineux).
© Springer Science+Business Media
Dans ces sujets
1 = lobe caudé du foie; 2 = fissure du ligamentum venosum (fissure du ligament veineux).
© Springer Science+Business Media