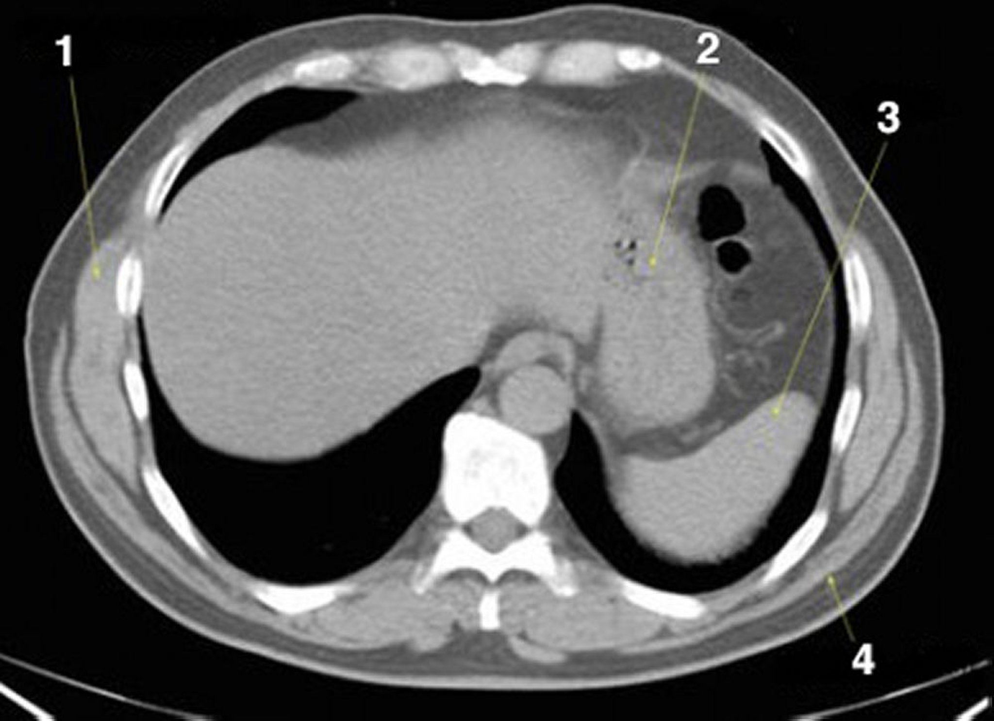
TDM sans contraste de l'abdomen et du bassin montrant une anatomie normale (diapositive 2)
1 = serratus anterior; 2 = estomac; 3 = rate; 4 = latissimus dorsi.
© Springer Science+Business Media
Dans ces sujets
1 = serratus anterior; 2 = estomac; 3 = rate; 4 = latissimus dorsi.
© Springer Science+Business Media