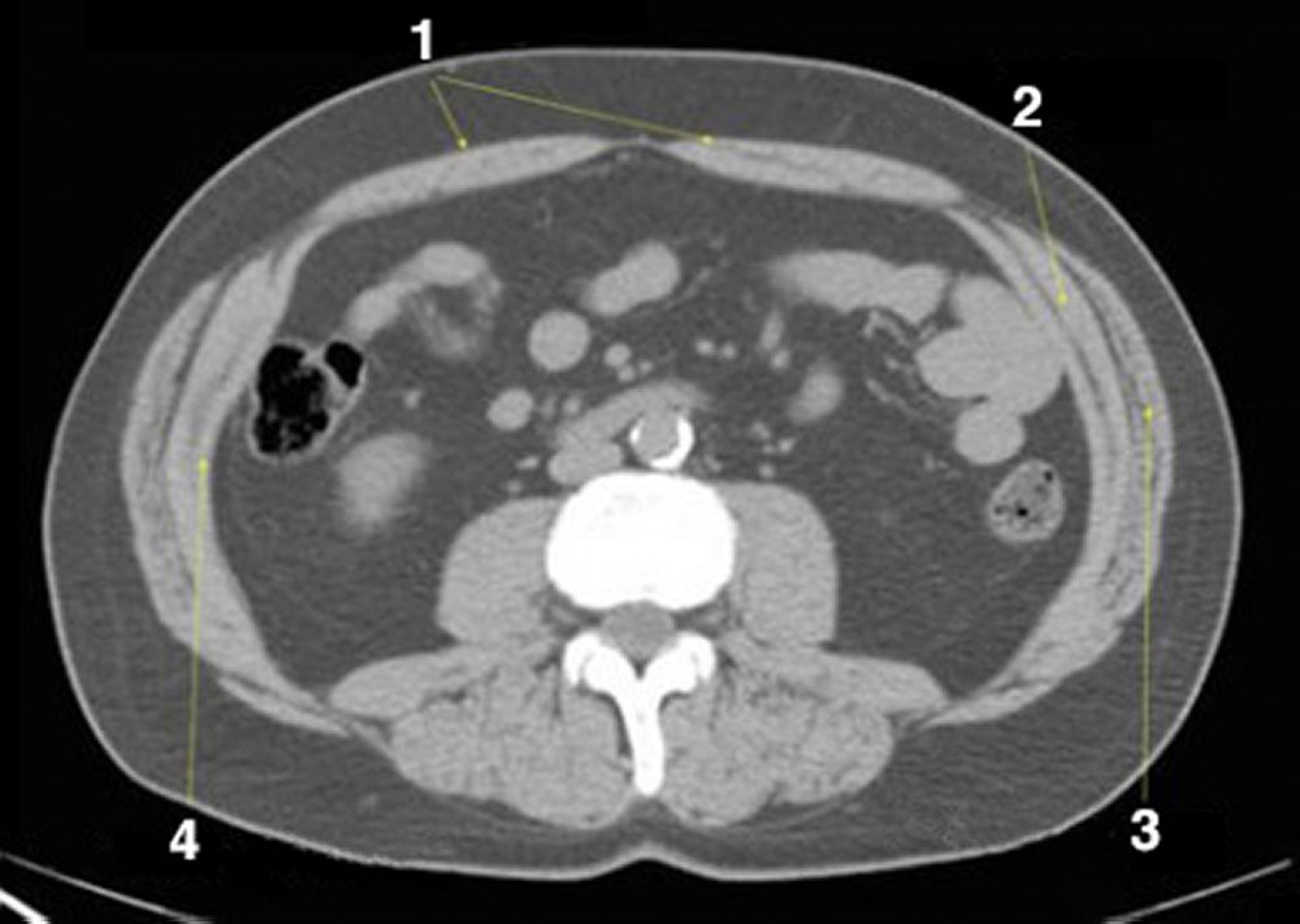
TDM sans contraste de l'abdomen et du bassin montrant une anatomie normale (diapositive 19)
1 = rectus abdominus; 2 = oblique interne; 3 = oblique externe; 4 = abdominus transverse.
© Springer Science+Business Media
Dans ces sujets
1 = rectus abdominus; 2 = oblique interne; 3 = oblique externe; 4 = abdominus transverse.
© Springer Science+Business Media