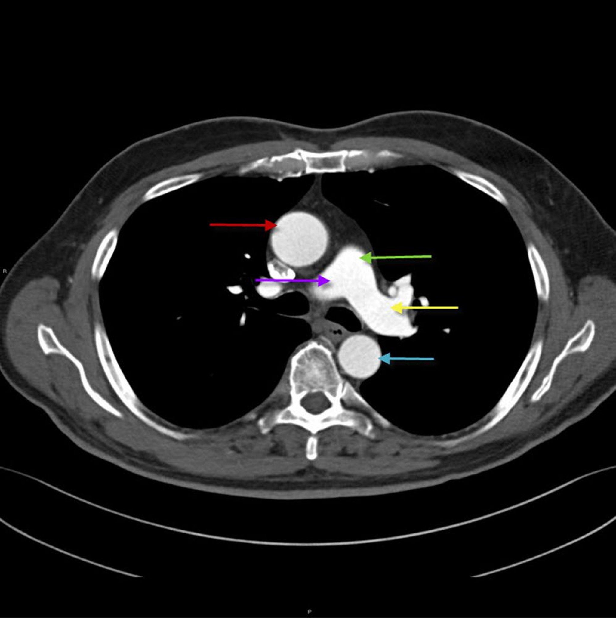
TDM du thorax montrant l'anatomie de l'aorte et de l'artère pulmonaire
Cette image montre l'aorte thoracique ascendante (flèche rouge) avec l'aorte thoracique descendante (flèche bleue). L'artère pulmonaire principale (flèche verte) se divise en artère pulmonaire droite (flèche violette) et gauche (flèche jaune).
© 2017 Elliot K. Fishman, MD.
Dans ces sujets
