TDM avec contraste montrant des artères coronaires normales – Coupe 1
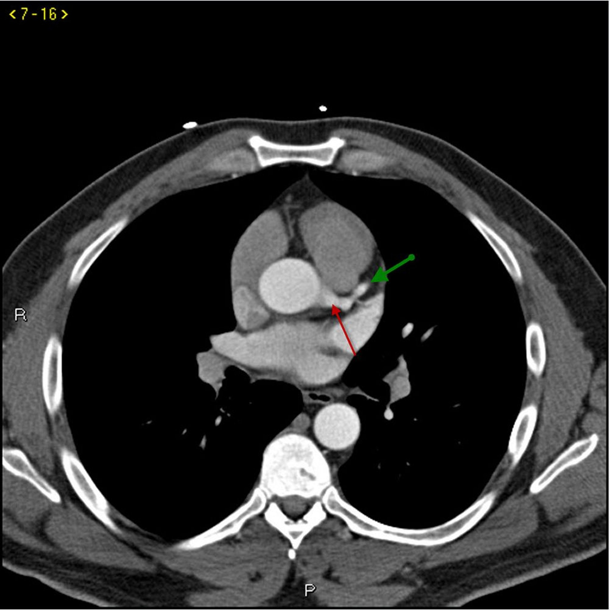
Cette TDM avec contraste montre des artères coronaires normales. Le tronc commun coronaire gauche est indiqué par la flèche rouge. Les artères interventriculaire antérieure gauche et circonflexe gauche sont indiquées par les flèches verte et bleue respectivement et l'artère coronaire droite est indiquée par la flèche violette.
© 2017 Elliot K. Fishman, MD.
Dans ces sujets
