Syndrome de détresse respiratoire aiguë
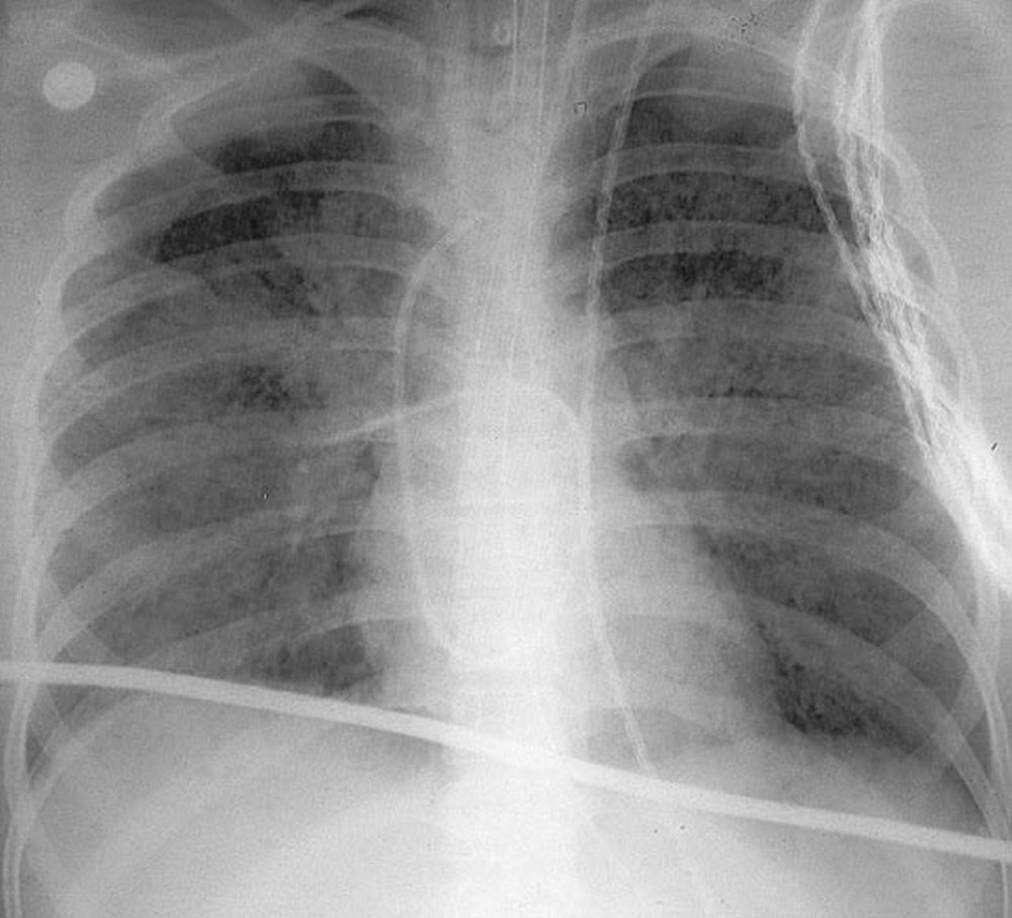
Cette radiographie thoracique verticale montre des opacités bilatérales diffuses caractéristiques du syndrome de détresse respiratoire aiguë (ARDS/SDRA [acute respiratory distress syndrome]).
By permission of the publisher. D'après Herdegen J, Bone R. In Atlas of Infectious Diseases: Pleuropulmonary and Bronchial Infections. Edited by G Mandell (series editor) and MS Simberkoff. Philadelphia, Current Medicine, 1996.
