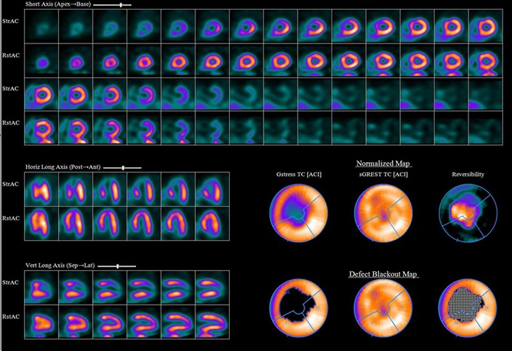
SPECT dans l'angor d'apparition récente
Images d'effort et de repos de tomographie par émission de photons uniques (SPECT) d'un homme de 52 ans souffrant d'angor de début récent. Les images obtenues pendant le stress (rangées d'images ou de cartes polaires notées Str ou Stress) montrent une grande zone d'ischémie sur le territoire alimenté par l'artère interventriculaire gauche qui est absente au repos (rangées d'images ou de cartes polaires notées Rst ou Repos). L'angiographie a confirmé une occlusion de 95 à 99% de la bifurcation de l'interventriculaire antérieure au niveau de la première branche diagonale. Les images à l'effort montrent moins d'absorption (plus violettes ou plus foncées) que les zones claires au repos.
Image courtoisie de James R. Corbett, MD.
Dans ces sujets
