honeypot link
skip to main content
MSDLe Manuel MSDVersion pour professionnels de la santé
SUJETS MÉDICAUXRESSOURCESCOMMENTAIREPROCÉDURES ET EXAMENSQUESTIONNAIRESÀ PROPOS DE
homeSUJETS MÉDICAUXRESSOURCES
Search icon
  1. <Images
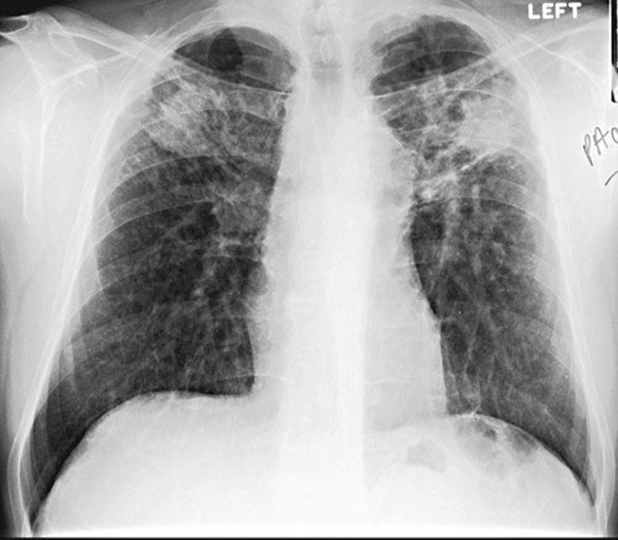
    Silicose, conglomérat

    Silicose, conglomérat

    Image courtoisie de David W. Cugell, MD.

    Dans ces sujets
    • Silicose >
    MSD
    • À PROPOS DE
    • Clause de non-responsabilité
    • Autorisations
    • Protection des Renseignements Personnels
    • Cookie Preferences
    • Conditions d'utilisation
    • Concession de licence
    • Nous contacter
    • Manuel du vétérinaire (en anglais uniquement)
    This icon serves as a link to download the eSSENTIAL Accessibility assistive technology app for individuals with physical disabilities. It is featured as part of our commitment to diversity and inclusion.
    This icon serves as a link to download the eSSENTIAL Accessibility assistive technology app for individuals with physical disabilities. It is featured as part of our commitment to diversity and inclusion.
    MSD

    Copyright© 2026Merck & Co., Inc., Rahway, NJ, États-Unis et ses sociétés affiliées. Tous droits réservés.