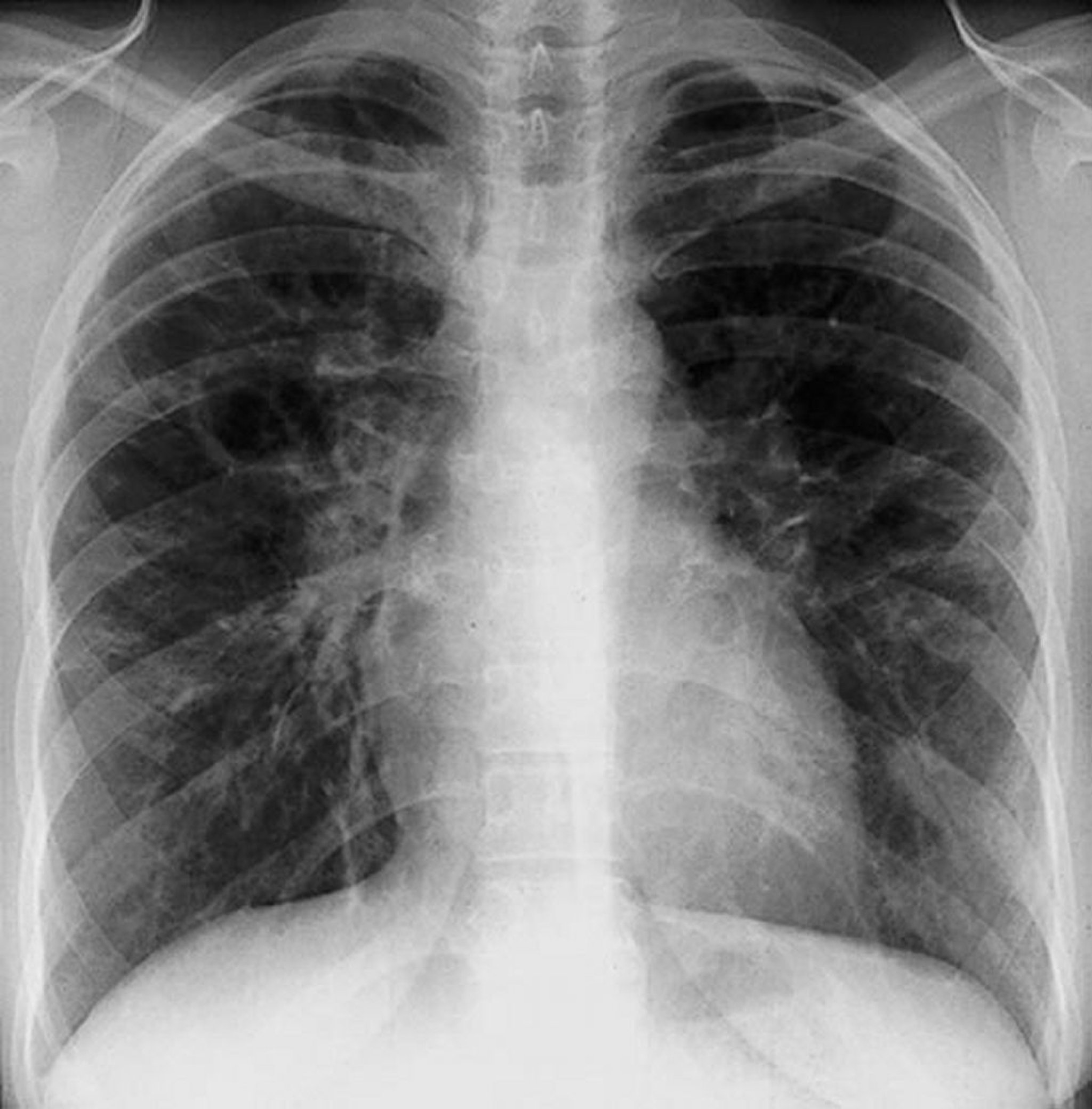
Sarcoïdose (stade III)
Opacités interstitielles diffuses sans adénopathie hilaire dans la sarcoïdose de stade III.
By permission of the publisher. D'après Tanoue L, Elias J. In Bone's Atlas of Pulmonary and Critical Care Medicine. Edited by J Crapo. Philadelphia, Current Medicine, 2005.
Dans ces sujets
