Rx thorax (valvule cardiaque prothétique)
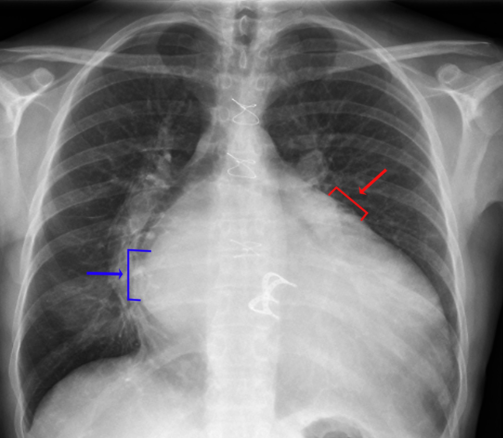
Les signes d'hypertrophie de l'oreillette gauche comprennent la densité visible de l'oreillette gauche dans l'hémithorax droit (flèche bleue, signe de double densité), une augmentation (> 7 cm) de la distance entre le bord de l'oreillette gauche dans l'hémithorax droit et la bronche principale, une convexité le long de la bordure supérieure gauche du cœur provoquée par l'augmentation de volume de l'auricule gauche (flèche rouge) et l'élargissement de la carène avec augmentation de la séparation entre les bronches principales gauche et droite. Les signes d'augmentation du volume du ventricule gauche comprennent un agrandissement évident de la silhouette cardiaque et un déplacement vers la gauche et le bas du bord gauche du cœur.
ZEPHYR/SCIENCE PHOTO LIBRARY
