Radiographie d'un enfant atteint de laryngite striduleuse (vue sagittale)
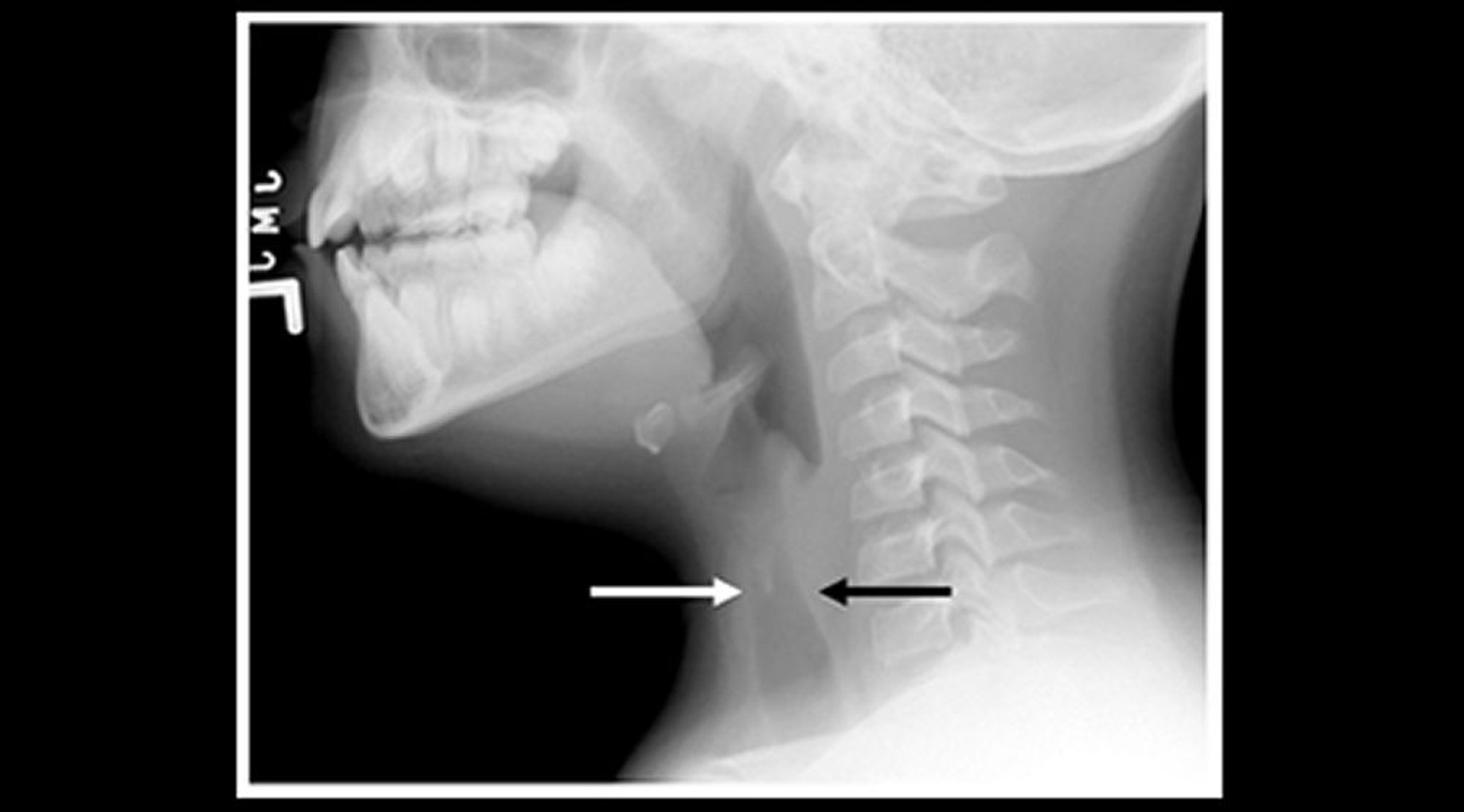
Les radiographies du cou des tissus mous d'un enfant qui a une laryngite striduleuse montrent un rétrécissement de l'ombre trachéale sous-glottique (flèches) et une dilatation des espaces aériens pharyngés.
Image courtoisie de John McBride, MD.
Dans ces sujets
