Radiographie du thorax
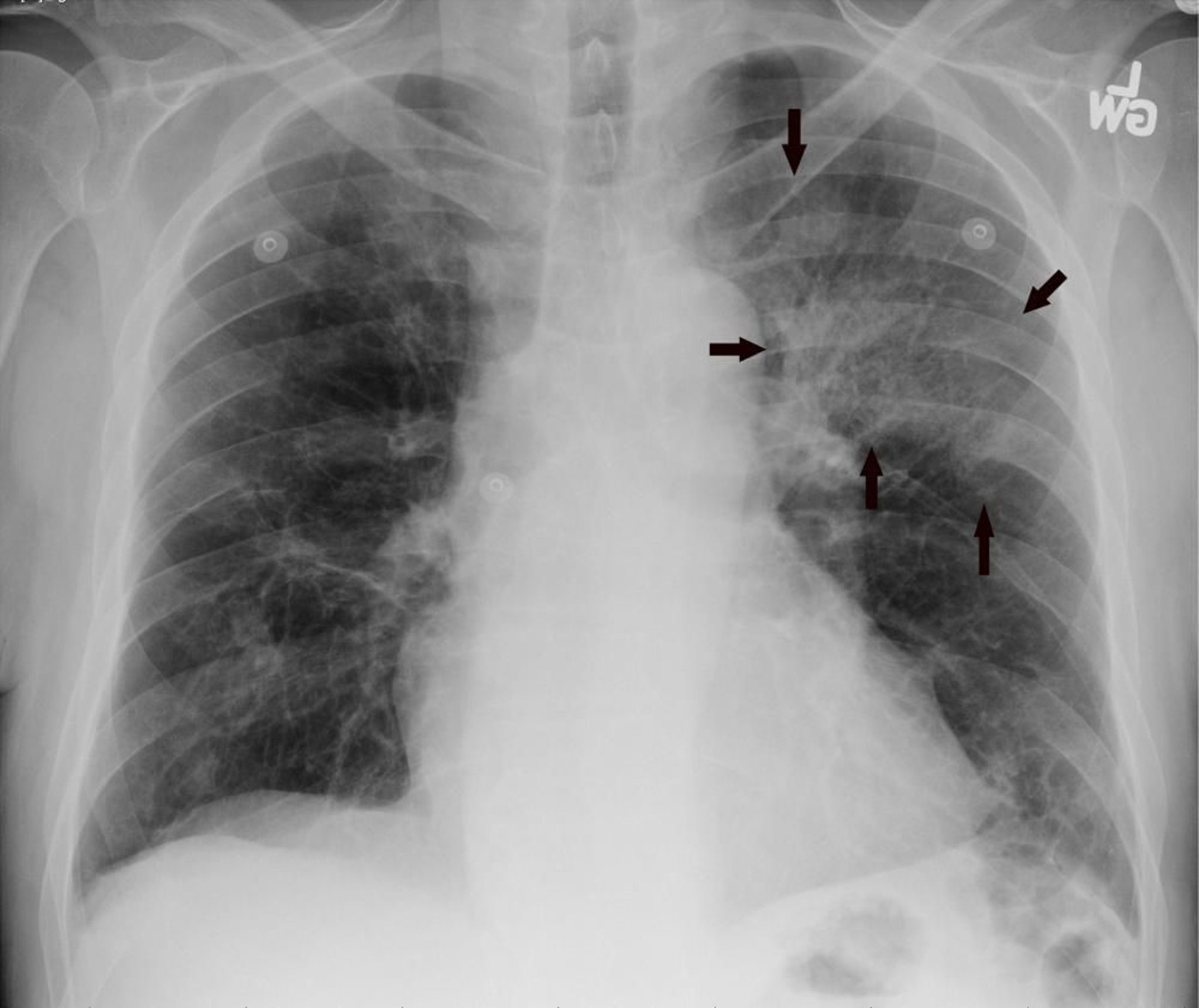
La radiographie de face du thorax montre un infiltrat du lobe supérieur gauche compatible avec une pneumonie (flèches).
Image courtoisie de Hakan Ilaslan, MD.
Dans ces sujets
La radiographie de face du thorax montre un infiltrat du lobe supérieur gauche compatible avec une pneumonie (flèches).
Image courtoisie de Hakan Ilaslan, MD.