Pneumopathie d'hypersensibilité chronique
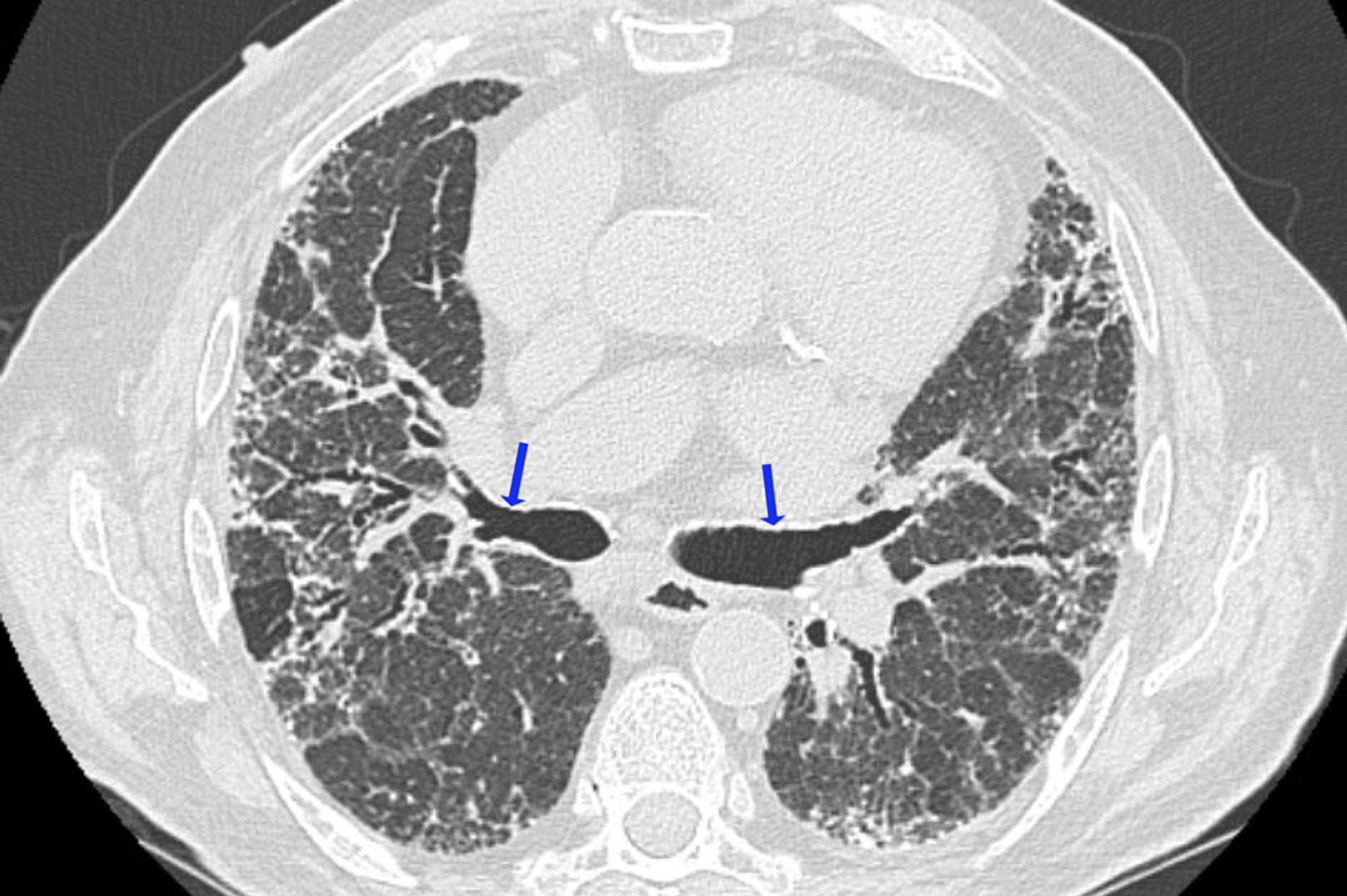
Cette TDM à haute résolution montre des signes de fibrose, dont une réticulation irrégulière et une bronchectasie de traction (flèches). Les zones de diminution de la densité pulmonaire sont compatibles avec les régions d'obstruction des voies respiratoires. Cette association de signes évoque une pneumopathie d'hypersensibilité.
Image courtoisie de Joyce Lee, MD, MAS.
Dans ces sujets
