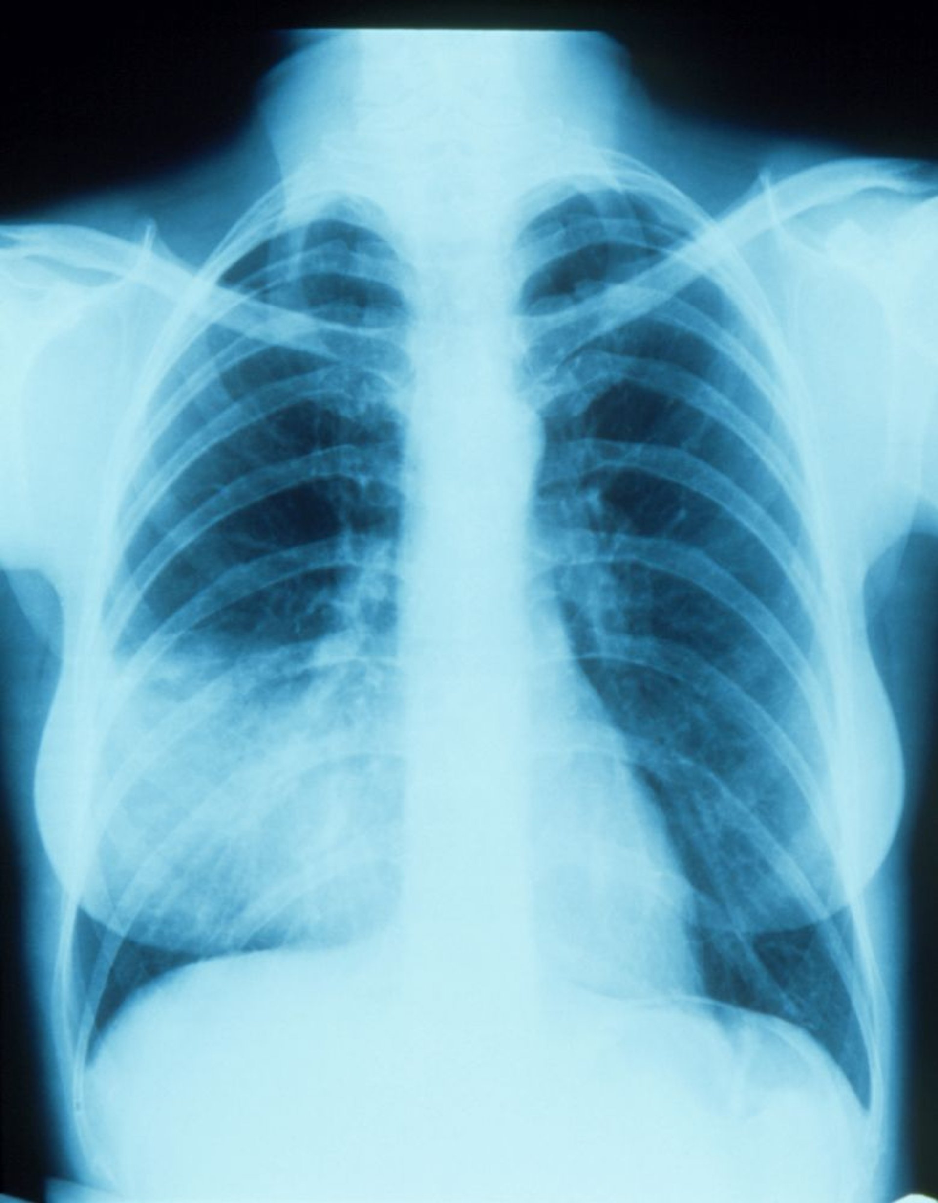
Pneumonie du lobe moyen droit avec signe de la silhouette
Cette radiographie pulmonaire montre un infiltrat qui semble se fondre avec le bord droit du cœur (signe de la silhouette). Le signe de la silhouette est dû au positionnement contigu des 2 structures de même densité; la partie du poumon contiguë au bord droit du cœur est le lobe moyen droit, c'est-à-dire la partie infiltrée et la pneumonie.
SCIENCE PHOTO LIBRARY
Dans ces sujets
