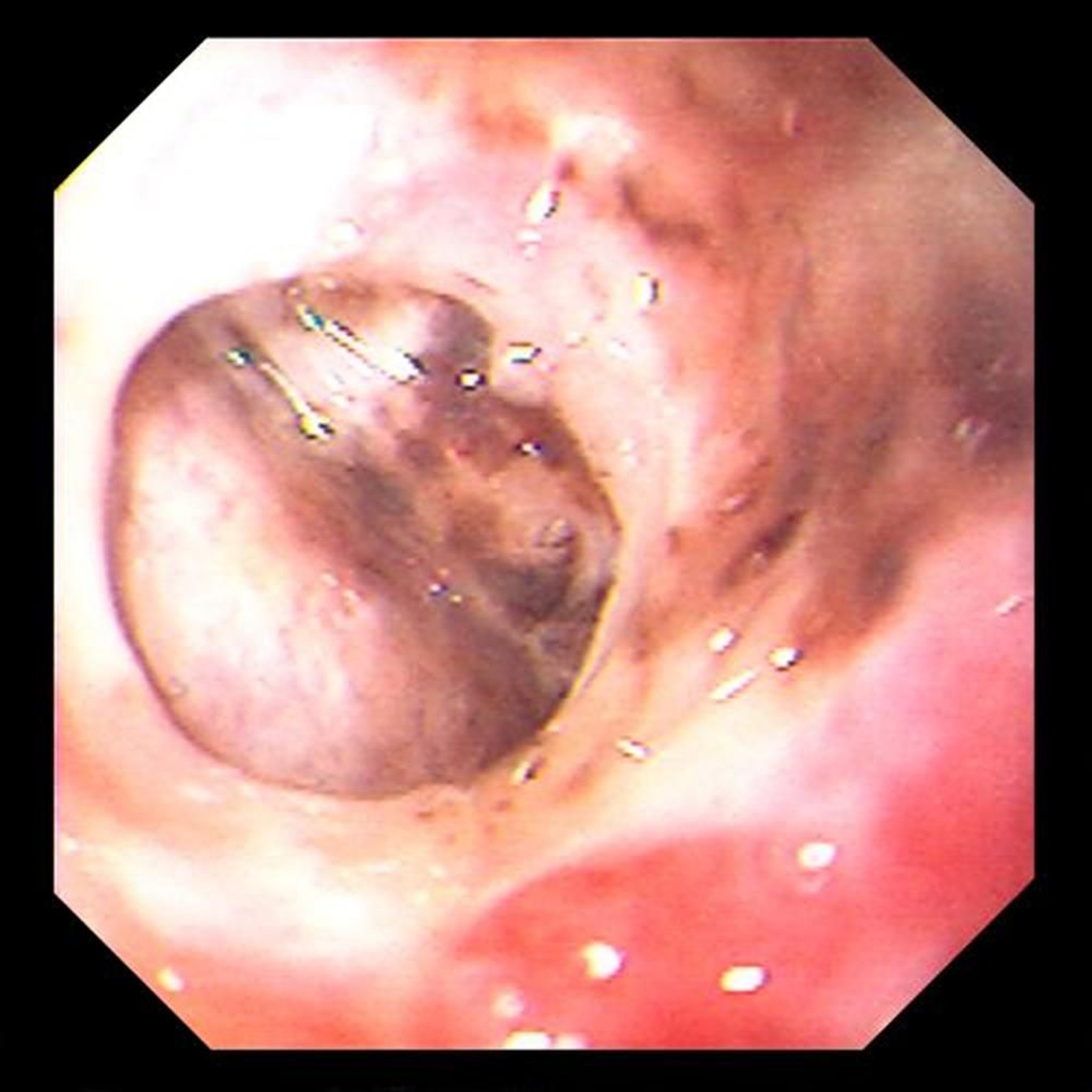
Perforation d'un ulcère gastrique
Cette image montre une perforation chronique, confinée, d'un ulcère gastrique à travers laquelle le foie est visible.
Image provided by David M. Martin, MD.
Dans ces sujets
Cette image montre une perforation chronique, confinée, d'un ulcère gastrique à travers laquelle le foie est visible.
Image provided by David M. Martin, MD.