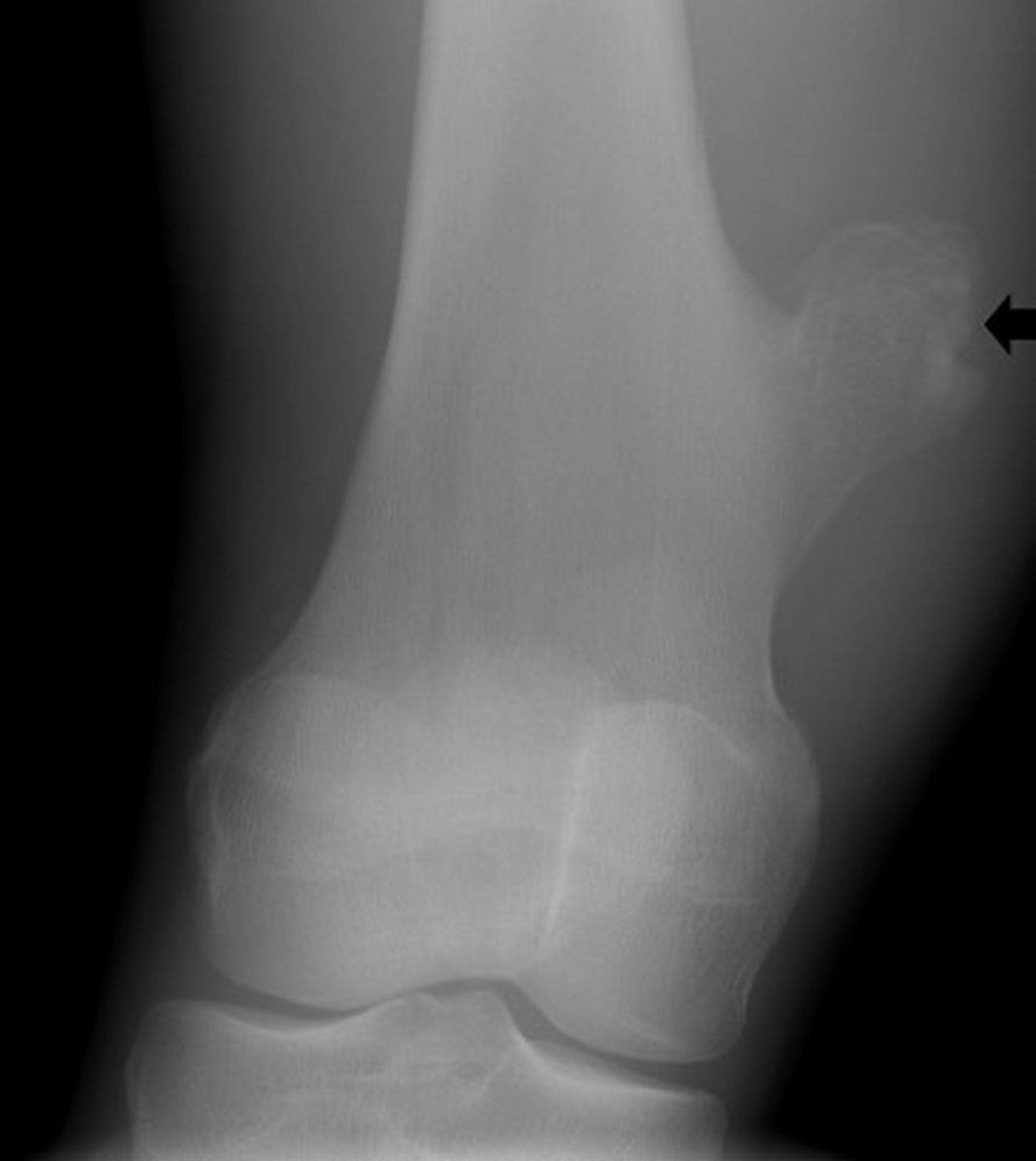
Ostéochondrome du genou
Cette radiographie du genou montre une excroissance osseuse (flèche) du fémur au-dessus de l'articulation du genou qui est compatible avec un ostéochondrome.
Image courtoisie de Michael J. Joyce, MD, and Hakan Ilaslan, MD.
Dans ces sujets
