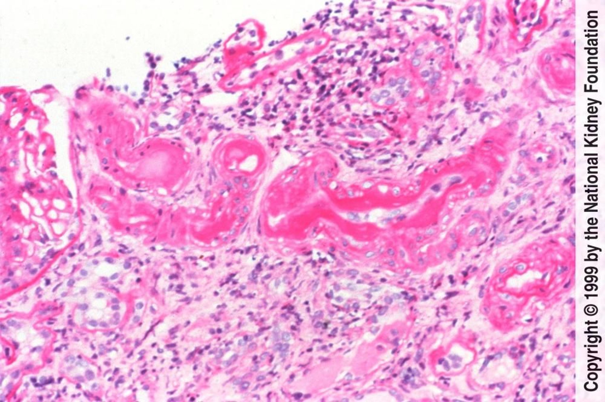
Néphrosclérose hypertensive artériolaire bénigne
La néphrosclérose artériolaire bénigne hypertensive est caractérisée histologiquement par une hyalinose artériolaire provoquée par l'insudation de protéines plasmatiques et un épaississement de la média causé par l'hypertrophie et l'hyperplasie des cellules musculaires lisses vasculaires (coloration à l'acide périodique Schiff, × 200).
Image fournie par Agnes Fogo, MD, and the American Journal of Kidney Diseases' Atlas of Renal Pathology (voir www.ajkd.org).
Dans ces sujets
