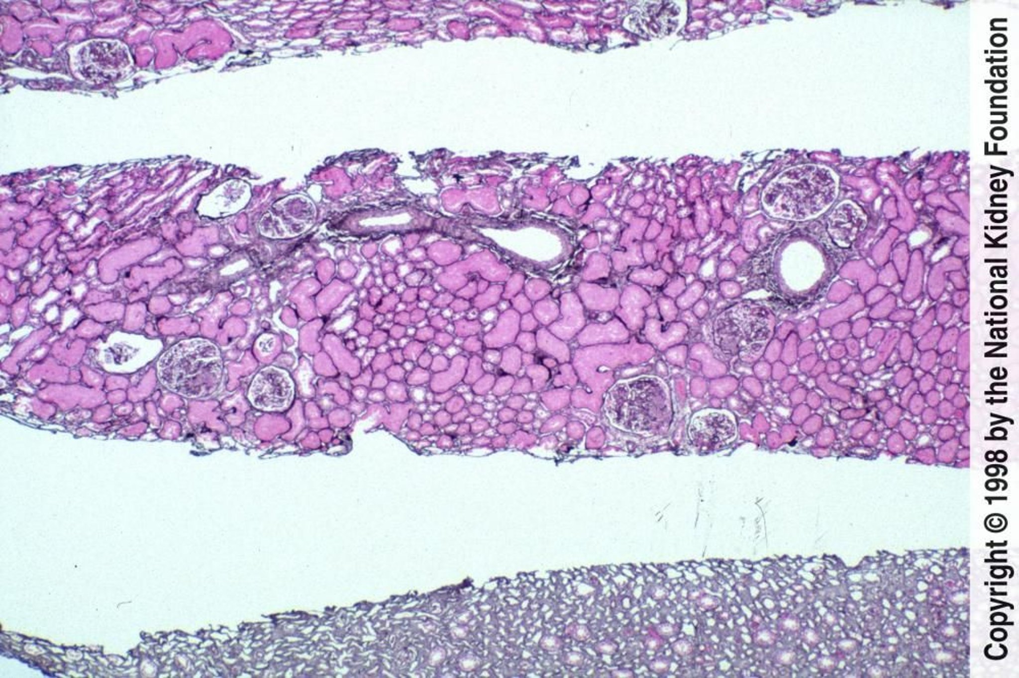
Néphrite lupique, focale (classe III)
La néphrite focale est caractérisée par une prolifération endocapillaire provoquée par des dépôts de complexes immuns impliquant < 50% des glomérules d'un prélèvement de biopsie.
Image fournie par Agnes Fogo, MD, and the American Journal of Kidney Diseases' Atlas of Renal Pathology (voir www.ajkd.org).
Dans ces sujets
