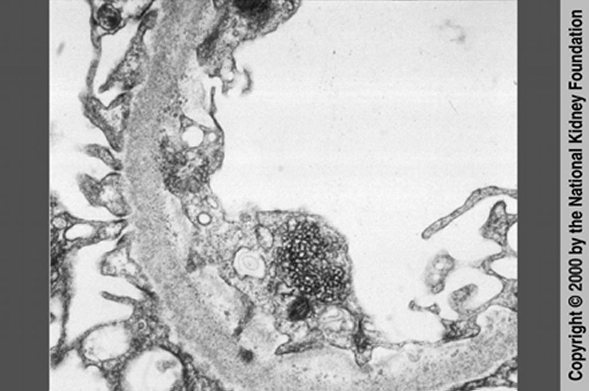
Néphropathie associée au VIH (inclusions réticulaires)
La néphropathie associée au VIH peut être distinguée de la glomérulosclérose segmentaire et focale par des inclusions réticulaires présentes dans le cytoplasme des cellules endothéliales en microscopie électronique à transmission (×20 000). Cependant, ces inclusions réticulaires sont à présent rares avec l'utilisation d'un traitement antirétroviral hautement actif.
Image fournie par Agnes Fogo, MD, and the American Journal of Kidney Diseases' Atlas of Renal Pathology (voir www.ajkd.org).
Dans ces sujets
