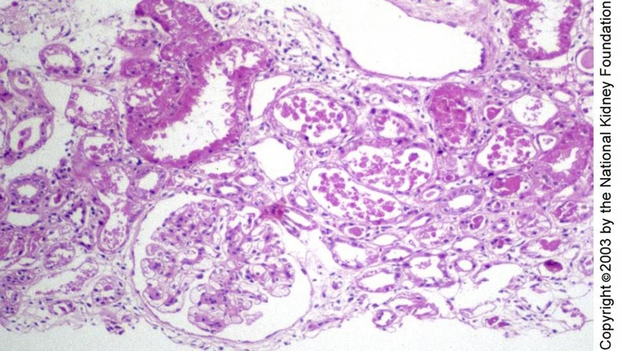
Nécrose tubulaire aiguë
Une lésion tubulaire encas de nécrose tubulaire aiguë peut se manifester histologiquement sous la forme d'un épithélium tubulaire aplati en régénération sans nécrose, comme on peut le voir à droite du glomérule, d'une hémorragie et d'une dégénérescence de cellules isolées, comme on peut le voir en haut à gauche ou d'une nécrose franche, comme on peut le voir au milieu de l'image (coloration à l'acide périodique Schiff, ×100).
Image fournie par Agnes Fogo, MD, and the American Journal of Kidney Diseases' Atlas of Renal Pathology (voir www.ajkd.org).
Dans ces sujets
