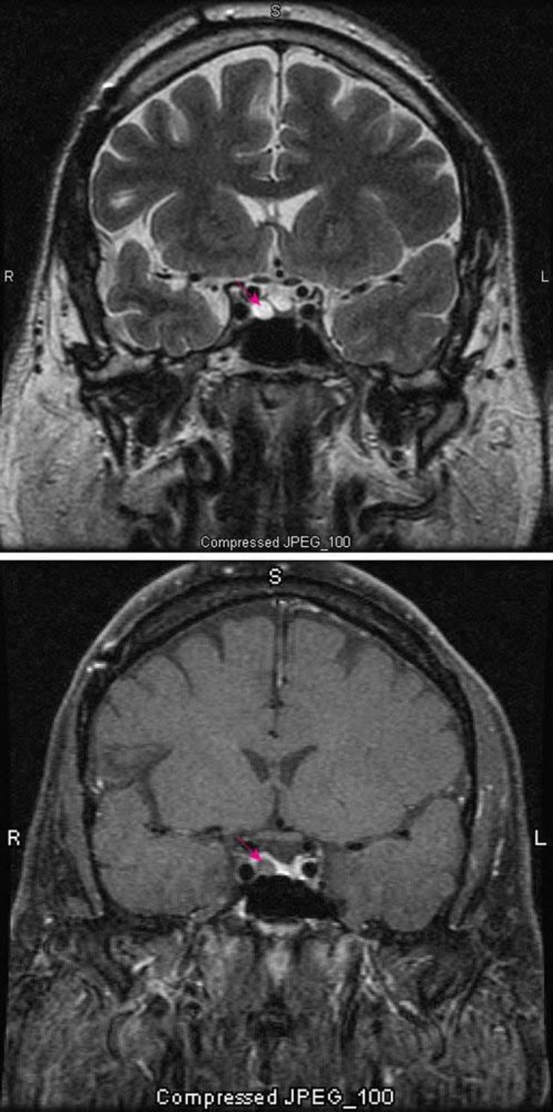
Microadénome hypophysaire
L'IRM pondérée en T2 (en haut) montre un microadénome hypophysaire (flèche rouge). Le produit de contraste (en bas) améliore normalement la visualisation de l'hypophyse (flèche rouge). L'adénome semble plus clair.
Images courtesy of William R. Shapiro, MD.
Dans ces sujets
