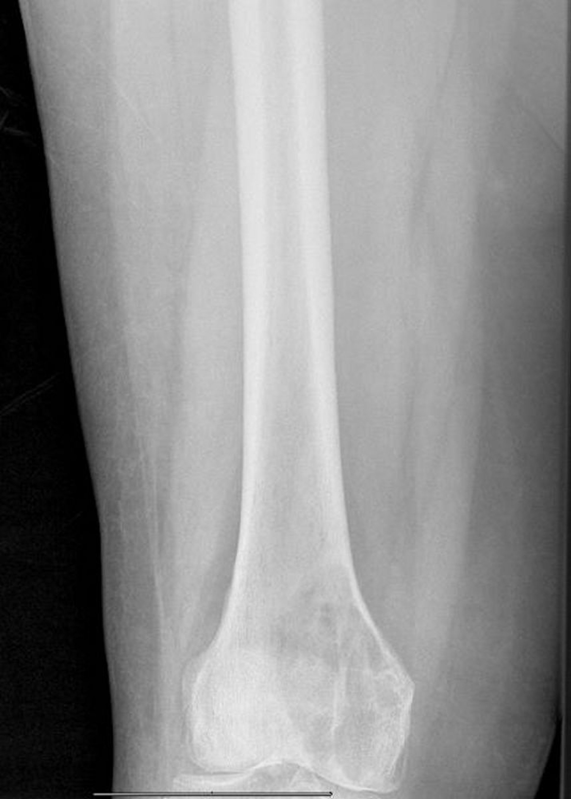
Métastases lytiques du fémur distal
Cette radiographie montre une grande lésion lytique métastatique du condyle fémoral médial avec fracture pathologique imminente.
Image courtoisie de Michael J. Joyce, MD, and David M. Joyce, MD.
Dans ces sujets
Cette radiographie montre une grande lésion lytique métastatique du condyle fémoral médial avec fracture pathologique imminente.
Image courtoisie de Michael J. Joyce, MD, and David M. Joyce, MD.