Lésion cutanée (pustule)
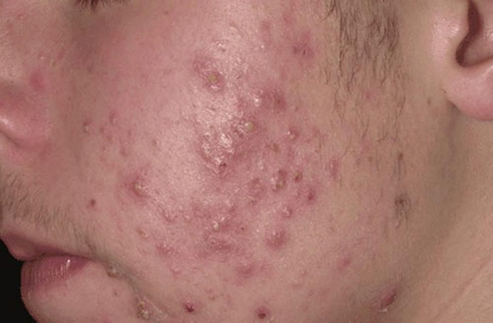
Les pustules sont des lésions surélevées, généralement de couleur jaune qui contiennent du pus. Des pustules éparses apparaissent sur le visage de cette personne souffrant d'acné.
Photo fournie par Thomas Habif, MD.
Dans ces sujets
