IRM pondérées en T1
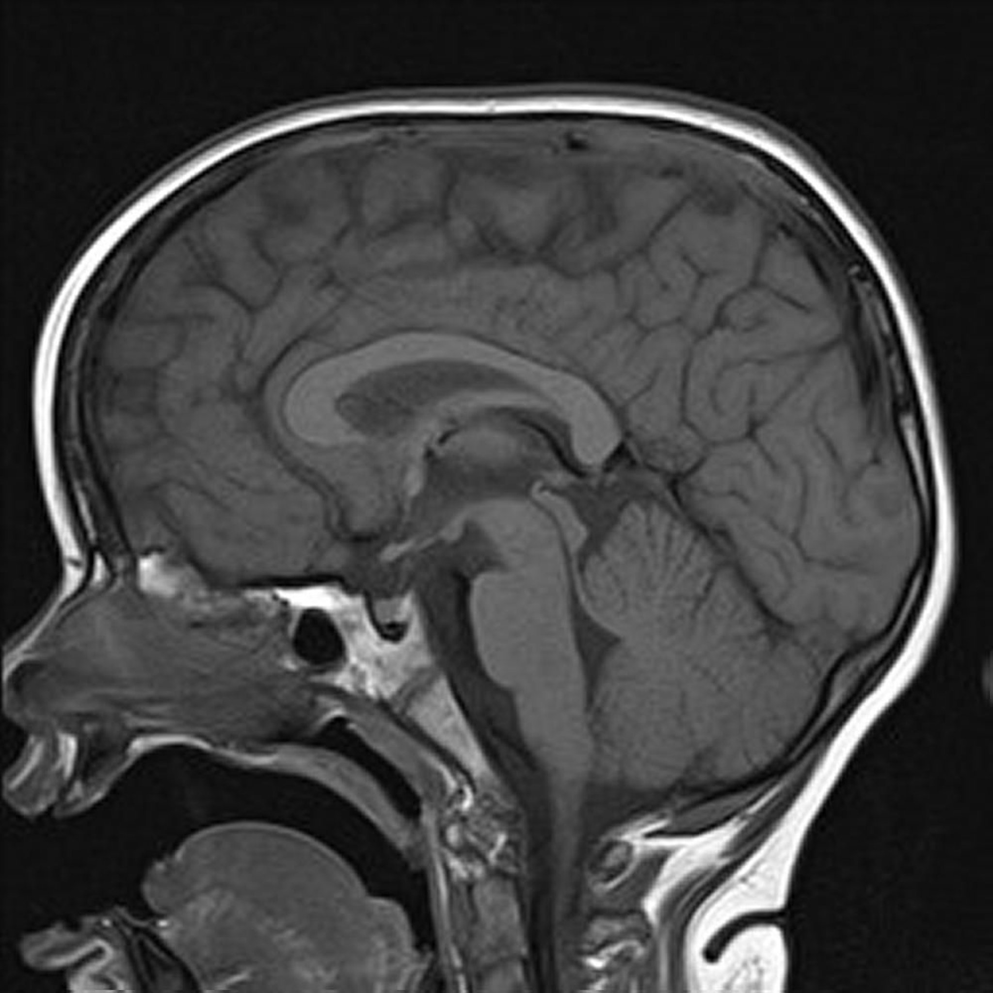
L'image sagittale pondérée en T1 du cerveau montre des structures médianes normales.
Image courtoisie de Hakan Ilaslan, MD.
Dans ces sujets
L'image sagittale pondérée en T1 du cerveau montre des structures médianes normales.
Image courtoisie de Hakan Ilaslan, MD.