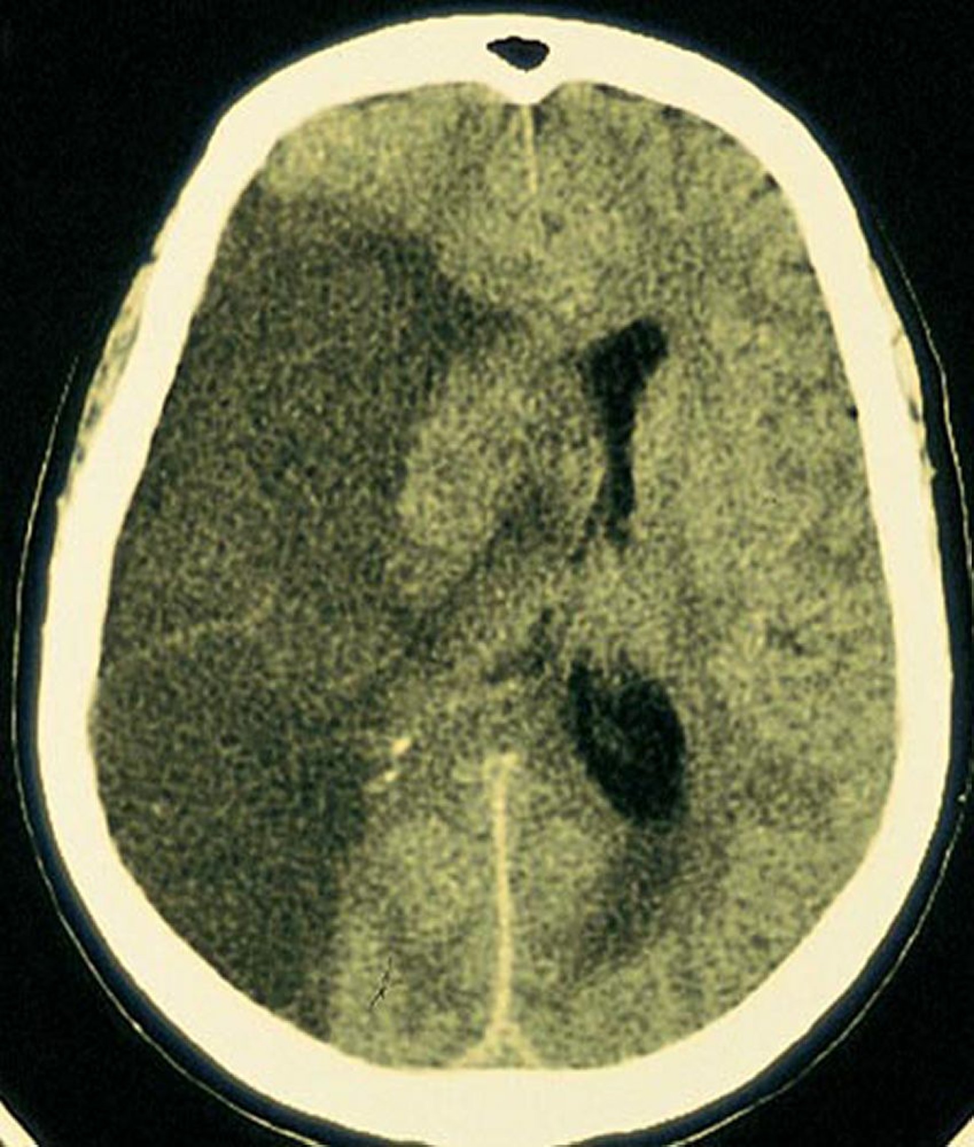
Infarctus de l'artère cérébrale moyenne (fréquent)
Un grand infarctus est visible dans la région du cerveau alimentée par l'artère cérébrale moyenne droite.
By permission of the publisher. From Furie K, et al: Cerebrovascular disease. In Atlas of Clinical Neurology. Edited by RN Rosenberg. Philadelphia, Current Medicine, 2002.
Dans ces sujets
