Hémorragie alvéolaire diffuse
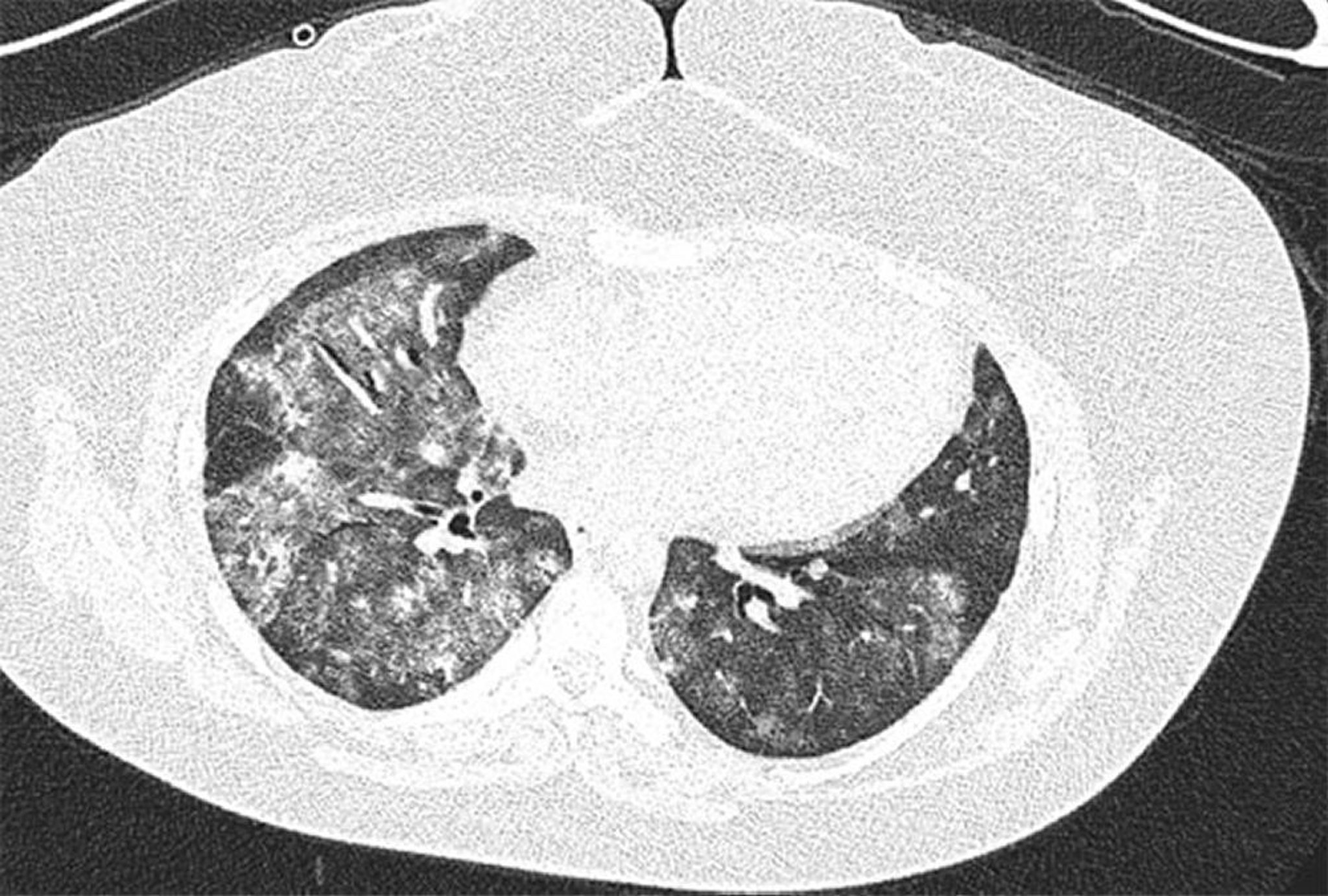
Image TDM à haute résolution d'une femme de 28 ans atteinte d'un syndrome des anti-phospholipides avec hémorragie alvéolaire diffuse récurrente. L'image montre des opacités en verre dépoli alvéolaires bilatérales et inégales avec épargne sous-pleurale. Le lavage bronchoalvéolaire a confirmé l'hémorragie alvéolaire.
Image courtoisie de Joyce Lee, MD.
Dans ces sujets
