Histiocytose à cellules de Langerhans (os pelvien)
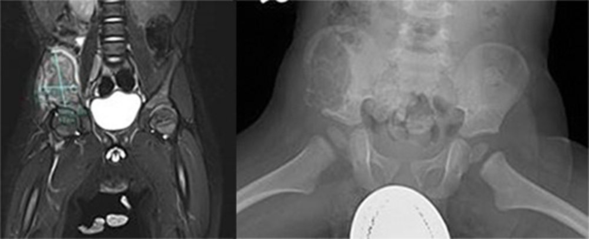
Cette image montre une grande lésion agressive de l'aile iliaque droite. Une IRM a révélé que la masse était hétérogène en T2 et à faible signal T1 avec augmentation hétérogène de la masse et de la musculature environnante avec déviation médiale du muscle psoas droit, suggérant une lésion osseuse agressive (gauche). Une grande lésion lytique au niveau de l'aile antérieure et latérale de l'iléon s'étendant en avant et en dessous de l'ischion était visible sur la radiographie (droite). Il existe une expansion du cortex et des irrégularités corticales. La biopsie a été diagnostique pour l'histiocytose à cellules de Langerhans.
Images courtesy of Carolyn Fein Levy, MD, and Jeffrey M. Lipton, MD, PhD.
Dans ces sujets
