Granulomatose avec polyangéïte (lésion pulmonaire)
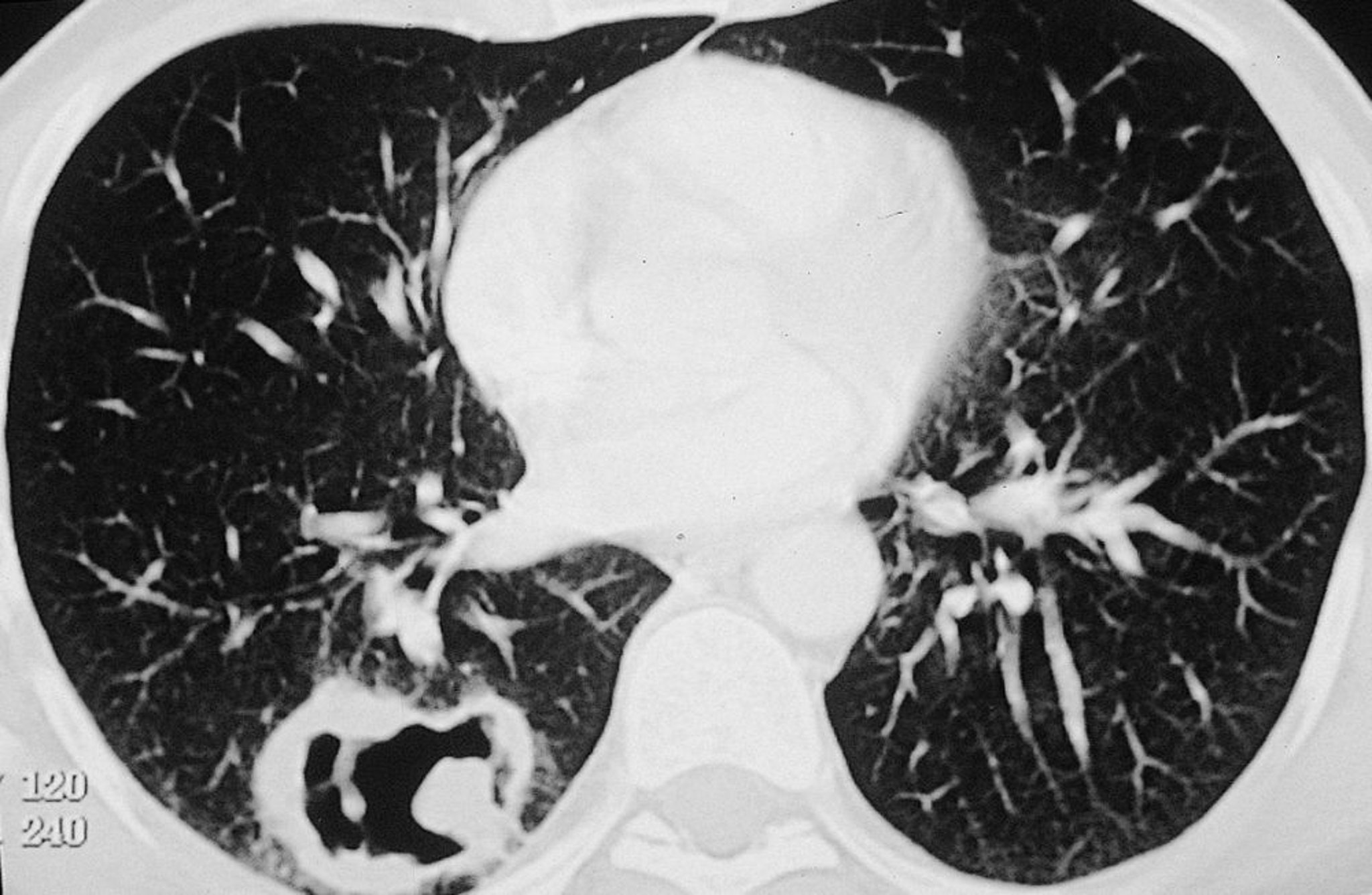
Grande lésion cavitaire du poumon droit chez un patient atteint de granulomatose avec polyangéïte.
© Springer Science+Business Media
Dans ces sujets
Grande lésion cavitaire du poumon droit chez un patient atteint de granulomatose avec polyangéïte.
© Springer Science+Business Media