Glomérulopathie immunotactoïde
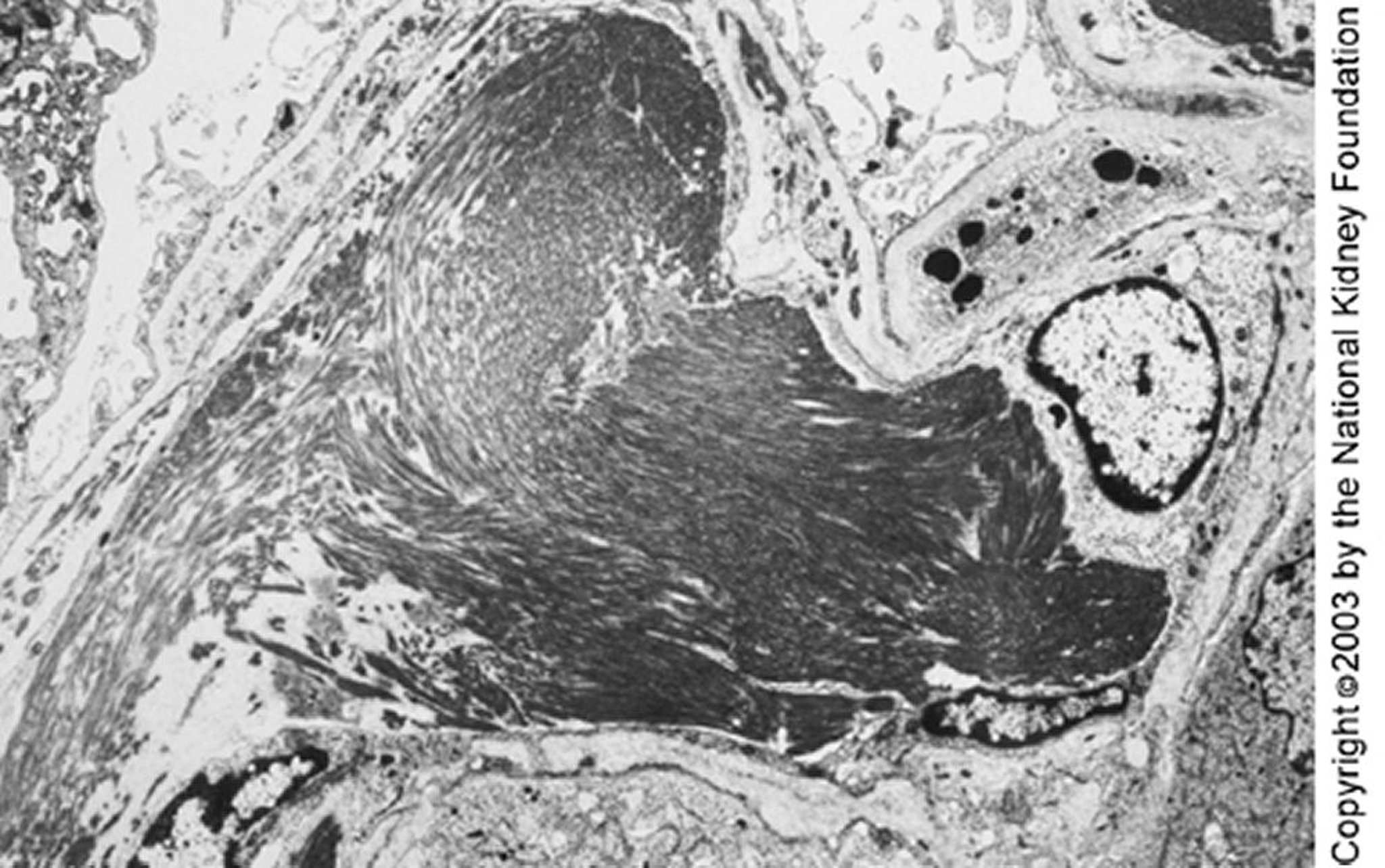
De grands microtubules (de près de 50 nm de diamètre) organisés en réseaux parallèles peuvent être vus en microscopie électronique à transmission. Les dépôts parallèles et la structure microtubulaire peuvent permettre de distinguer la glomérulopathie immunotactoïde de la glomérulopathie fibrillaire (×4000).
Image fournie par Agnes Fogo, MD, and the American Journal of Kidney Diseases' Atlas of Renal Pathology (voir www.ajkd.org).
Dans ces sujets
