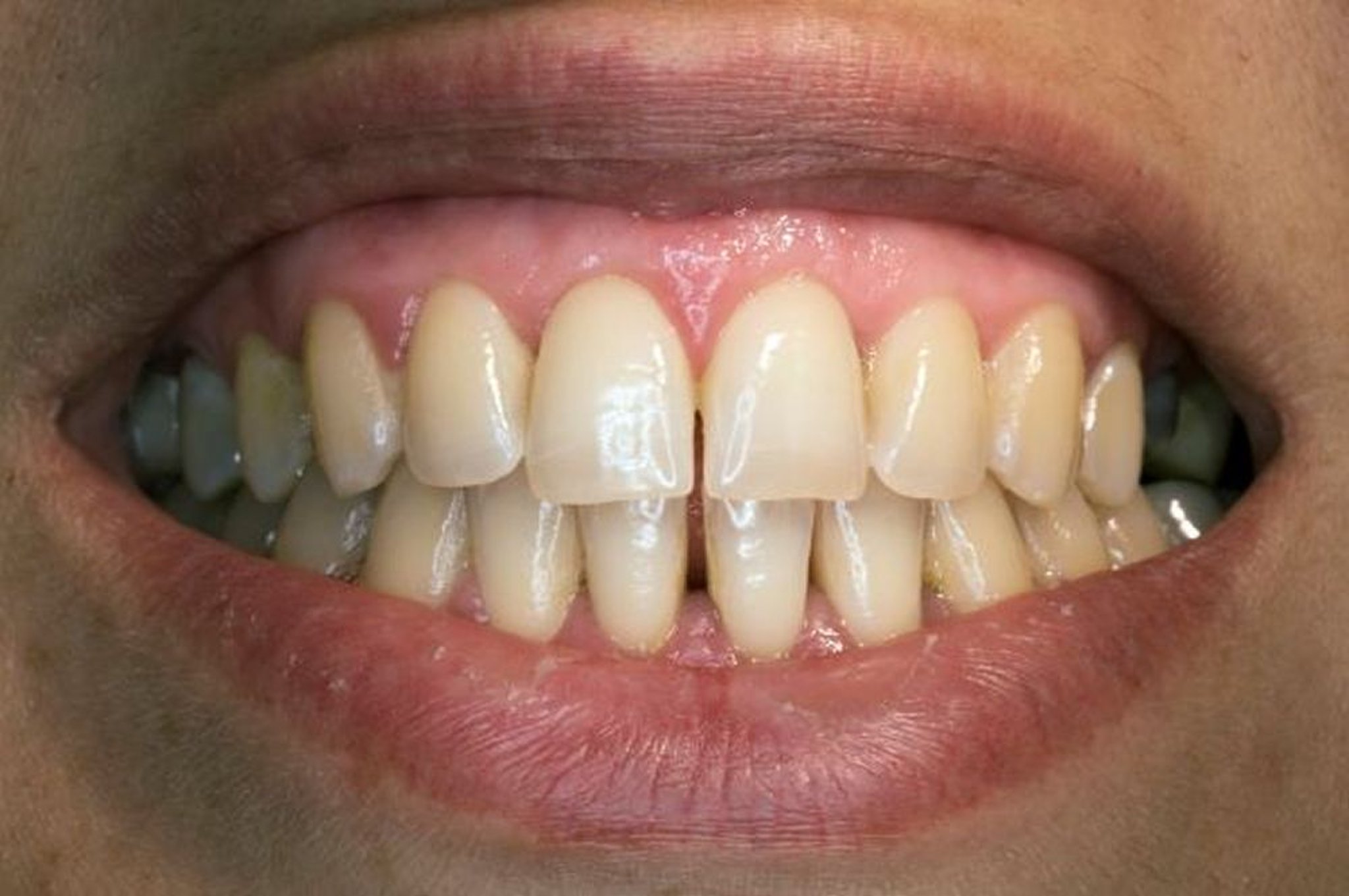
Gencives et dents relativement saines
La bouche relativement saine représentée ici présente quelques taches et du tartre, mais les gencives sont saines: fermes, bien adaptées aux dents et profilées pour former de fines papilles interdentaires.
DR ARMEN TARANYAN/SCIENCE PHOTO LIBRARY
Dans ces sujets
