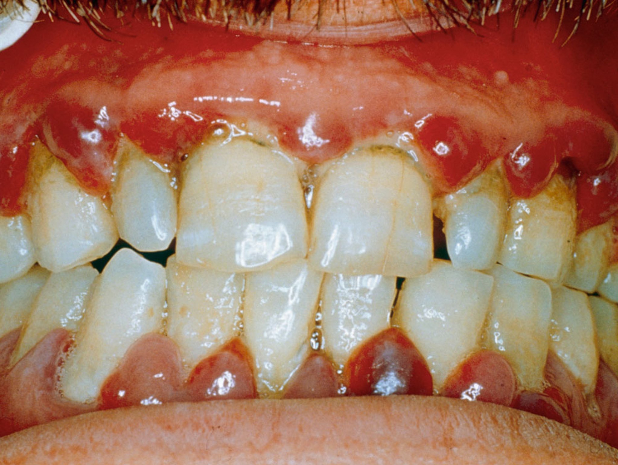
Gencives enflées, enflammées dans le scorbut
Cette photo montre une gencive œdémateuse pourpre chez un patient atteint de scorbut.
BIOPHOTO ASSOCIATES/SCIENCE PHOTO LIBRARY
Dans ces sujets
Cette photo montre une gencive œdémateuse pourpre chez un patient atteint de scorbut.
BIOPHOTO ASSOCIATES/SCIENCE PHOTO LIBRARY