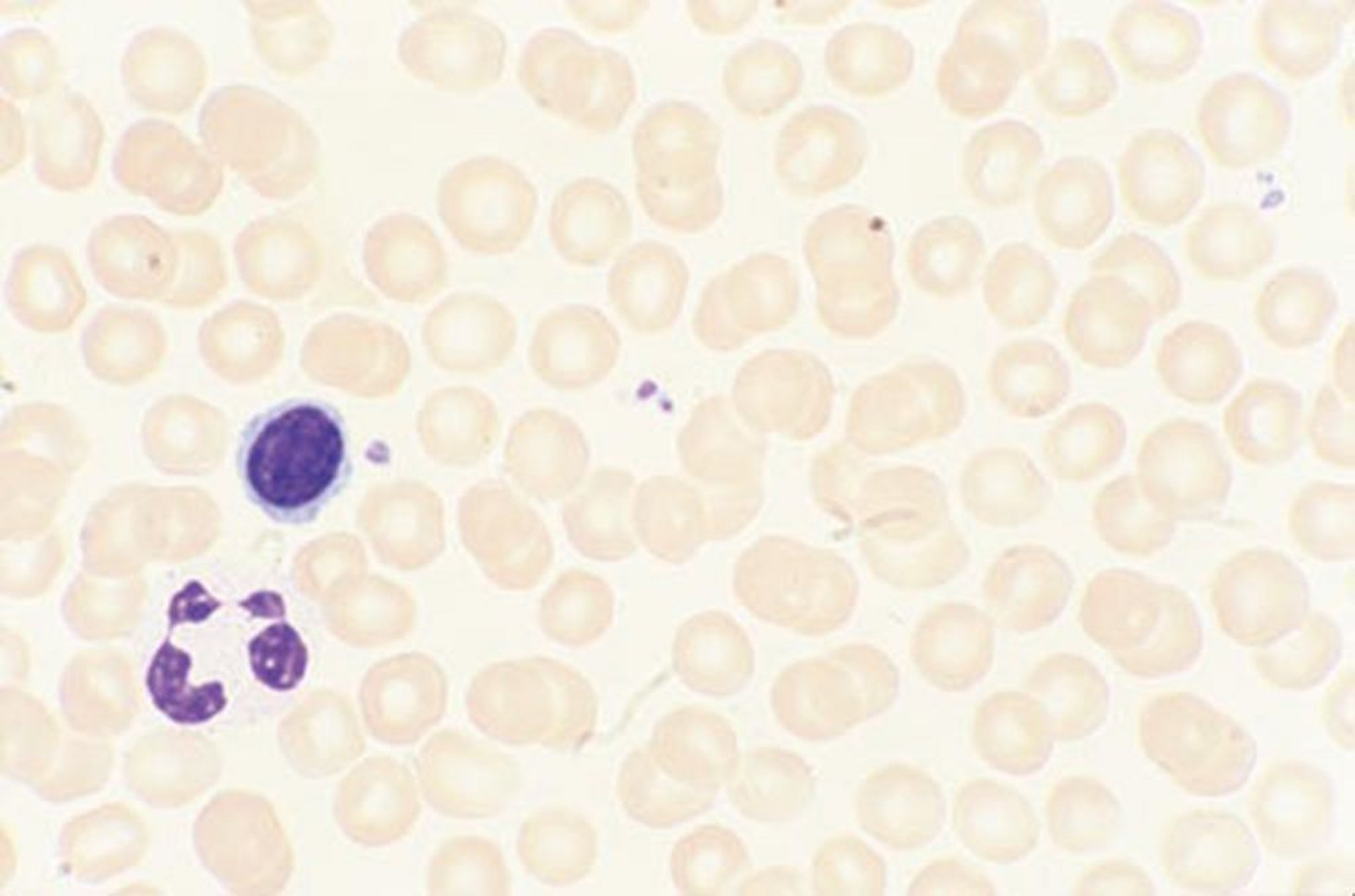
Frottis de sang périphérique, normal
Une goutte de sang est appliquée contre une lame de verre qui est ensuite colorée avec des colorations polychromes (Wright-Giemsa) pour permettre l'identification des différents types de cellules. Ces colorations sont des mélanges de colorants basiques (bleu de méthylène) qui colorent en bleu et de colorants acides (éosine) qui colorent en rouge. Ainsi, les composantes acides de la cellule (noyau, ARN cytoplasmique, granules basophiles) se colorent en bleu ou en violet et les composantes basiques de la cellule (hémoglobine, granules éosinophiles) se colorent en rouge ou en orange.
By permission of the publisher. From Tefferi A, Li C. In Atlas of Clinical Hematology. Edited by JO Armitage. Philadelphia, Current Medicine, 2004.
Dans ces sujets
