Fracture proximale de l'humérus
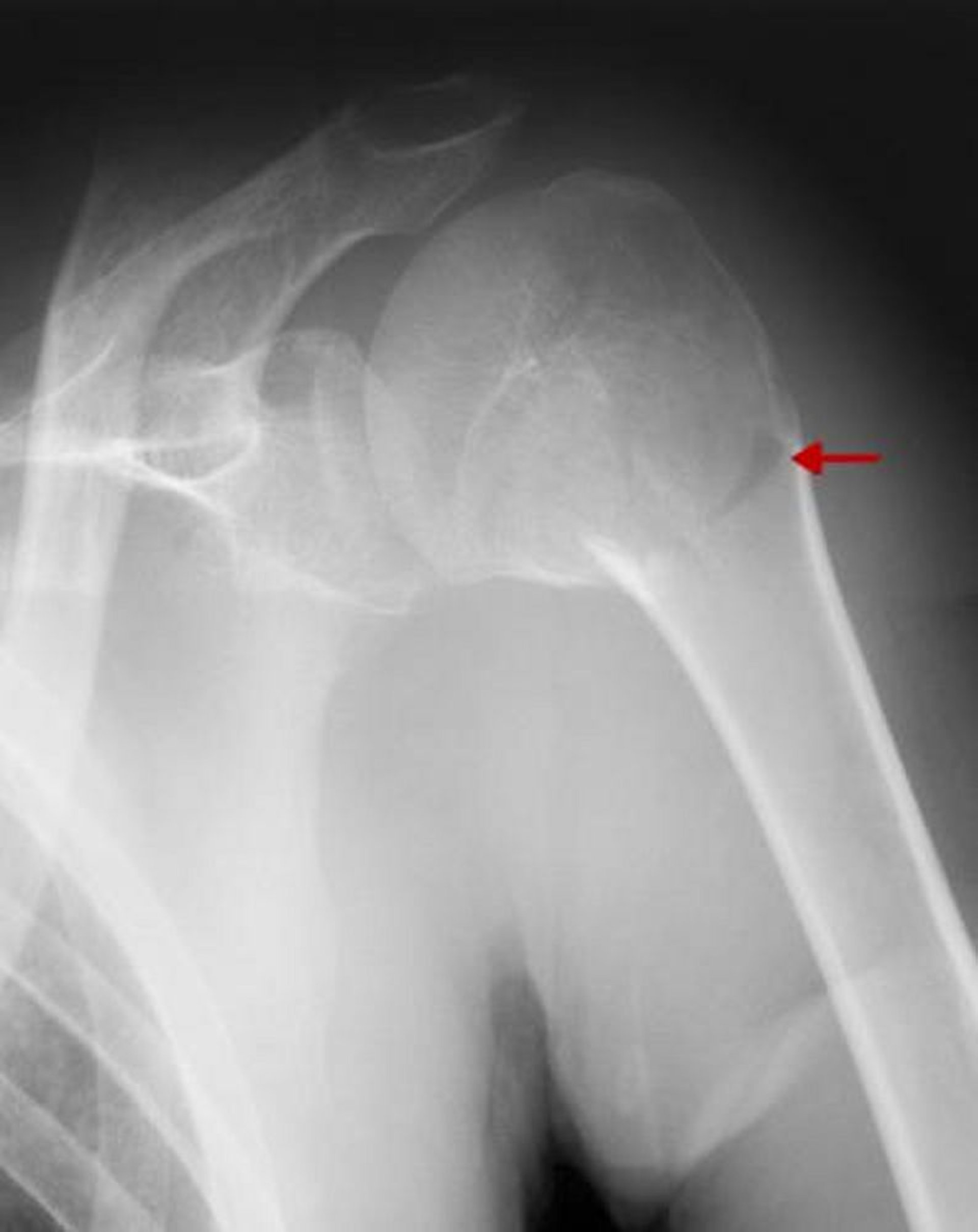
Cette fracture implique le cou chirurgical. Etant donné qu'il n'y a pas de déplacement ou d'angulation > 45°, il s'agit d'une fracture en une seule partie.
ZEPHYR/SCIENCE PHOTO LIBRARY
Dans ces sujets
Cette fracture implique le cou chirurgical. Etant donné qu'il n'y a pas de déplacement ou d'angulation > 45°, il s'agit d'une fracture en une seule partie.
ZEPHYR/SCIENCE PHOTO LIBRARY